Prosthetic Lenses
Prosthetic Lenses: Improving The Way We Look and See
By Michael A. Ward,
MMSc, FAAO, and Buddy Russell, FCLSA
December 2001
From improved cosmesis to improved vision, these four cases show how prosthetic lenses can change a patient's outlook.
As little as five years ago it was not uncommon for custom tinted lens orders to take six months or more to be manufactured. Modified orders could have a similar amount of turnaround time. If you happened upon just the right match, you prayed that the patient wouldn't need a replacement at least not during your tenure.
Prosthetic contact lens fitting is no longer the tedious trial and error event of yesteryear. Today's options allow systematic color and pattern matching as well as creativity. The most important aspects of current prosthetic lens technologies are dependable lens reproducibility and availability. There is a common tendency for eyecare practitioners to avoid fitting prosthetic lenses because they believe it will be too time consuming and/or they don't have the necessary tools. Don't let these historic frustrations prevent you from using current prosthetic lens technologies.
The following four case reports illustrate some current prosthetic contact lens options and some creative tools for managing prosthetic lens patients.
|
|
|
|
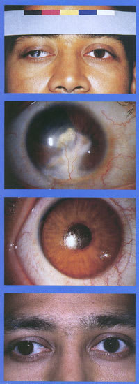
Figures 1a-d. Presenting appearance of Patient 1 (a). Corneal
leokoma, right eye (b). Prosthetic lens on the right eye (c). Appearance with prosthetic lens in place
(d). |
|
Case Report 1
Patient Information Patient is a 48-year-old female Asian immigrant who does not speak English. She wants to have a scar removed from her right eye for cosmetic purposes.
Ocular History The patient has a history of undefined trauma at age 2, resulting in permanent vision loss. The patient does not use any medications.
Vision OD: Counting fingers at 2 feet, temporal quadrant only, manifest refraction offered no improvement; OS: 20/20 2 uncorrected
Manual Keratometry OD: ~34/~42 x 86, 2+ mire irregularity; OS: 42.50/43:00 x 70 degrees, crisp mires
External OD: ptosis, right esotropia, leukocoria; OS: normal
Slit Lamp Evaluation (Figure 1a) OD: The cornea is clear superiorly with a dense white scar inferiorly. Deep corneal vascularization, edema, irregular epithelium and anterior synechiae are observed inferiorly.
Assessment (Figure 1b) The right eye has a dense corneal scar with poor vision, ptosis and probable significant amblyopia. The patient desires improved cosmesis.
Contact Lens Fitting/Outcome (Figures 1c and 1d) The patient was fitted with a CooperVision prosthetic contact lens.
Parameters:
Base curve
= 8.7mm
Diameter = 14.4mm
Power = Plano
Color = #8
Pupil = 4.5mm; opaque black
Iris = 12.0mm
Discussion On the first visit following contact lens dispension, the patient was happy with the cosmetic improvement but complained of some difficulty with lens application due to her small palpebral fissure. The patient is motivated to continue and should do well. After she has acclimated to contact lens wear, she will be evaluated for possible ptosis and strabismus repair.
|
|
|
|
Figures 2a-d Presenting appearance of Patient 2 (A). Corneal scar with irregular pupil (b). Custom-painted lens is slight decentered to mask exotropia (c).
Appearance with prosthetic lens in place (d). |
Case Report 2
Patient Information This patient is a 33-year-old male engineer who desires a contact lens to hide the scar in his right eye and to provide the best possible cosmetic appearance.
Ocular History He has a history of a penetrating injury at age 2. He has undergone multiple surgeries but reports no useful vision in his right eye. He is currently wearing a hydrogel prosthetic contact lens, which he has had for six months, on his right eye and a disposable contact lens, which he replaces every month, on his left eye.
Vision OD: Hand motion (HM) at 6 feet, no improvement with manifest refraction (MR); OS: 20/20 with a 6.00D soft contact lens.
Keratometry OD: 42.75/43.00 x 75 degrees, 3+ mire irregularity; OS: 43.12/43.62 x 70 degrees, crisp mires
External OD: leukocoria, right exotropia; OS: normal
Slit Lamp Evaluation (Figure 2a) OD: His current tinted soft contact lens was noted to have heavy deposits. The tarsal conjunctiva was normal. The cornea has a dense, vascularized corneal scar. A large (traumatic) sector iridectomy was noted through which a dense cataract could be visualized. The left eye was unremarkable.
Assessment (Figure 2b) The right eye has a dense corneal scar, cataract and probable significant amblyopia. The patient desires a new cosmetic/prosthetic contact lens.
Contact Lens Fitting/Outcome (Figures 2c and 2d) We fitted this patient with a toric soft contact lens so that we could decenter the pupil and iris to make a better cosmetic match. The patient traveled to the Adventures in Color laboratory, located in Golden, CO, for a hand-painted contact lens.
Parameters:
Base curve
= 8.6mm
Diameter = 15.0mm
Power = 2.00 = 2.00 x 015
Color = Opaque custom
Pupil = 4.0mm
Iris = 12.0mm
Discussion This patient is a professional who wants the best available cosmetic result. His past experience with prosthetic lenses has been unsatisfactory. A toric soft lens is used to prevent lens rotation on the eye, thus allowing a decentered pupil and iris to maintain their proper orientation. The lens was decentered nasally to hide his exotropia. Custom tinting/painting can be expensive and inconvenient, but potentially offers the best cosmetic match.
He was pleased with his cosmetic result; however, he suffered a bacterial keratitis in his seeing eye (OS), which was traced to the use of an ultraviolet lens care system. After his infection was treated and cleared, he was fitted into a single use disposable Acuvue (Vistakon, 8.5/14.2/6.00) lens OS to avoid any future risk of care system complications.
|
|
|
|
Figures 3a-d Appearance of Patient 3 (a). Corneal scar and irregular pupil of left eye (b). Piggyback lens system on affected eye (c). Appearance with piggyback lens system, left eye
(d). |
|
Case Report 3
Patient Information This patient is a 15-year-old student who presents for visual and cosmetic correction. "Teasing from her school peers" motivates her.
Ocular History She suffered a penetrating injury to her left eye at age 10, leaving the eye aphakic and scarred. She reports normal vision prior to the injury. She had unsuccessfully tried lens use previously.
Vision OD: 20/25, +2 uncorrected; OS: HM, MR: +17.50 = 4.75 x 60 = >20/50 at VD = 13mm
Keratometry OD: 44.25/44.75 x 180, crisp mires; OS: 40.25 / 47.50 x 150, 1+ mire irregularity
External left exotropia
Slit Lamp Evaluation (Figure 3a) OD: normal; OS: full thickness corneal scar with partial aniridia and peripheral anterior synechiae.
Assessment (Figure 2b) Corneal scar, left eye, with aphakia and partial aniridia
Contact Lens Fitting/Outcome (Figures 3c and 3d) The patient was fitted with a combined rigid /soft piggyback lens system. This provided visual acuity in her left eye of 20/25.
Parameters:
Soft contact lens (base lens): FreshLook ColorBlends (CIBA Vision)
Base curve: Median
Diameter: 14.5mm
Power: Plano
Color: Green
Rigid contact lens: Fluorocon (CIBA Vision)
Base Curve: 8.20mm
Diameter: 10.0mm
Power: +18.00FV
Discussion The patient and family were pleased with both her vision and improved cosmesis. We were able to use standard lens types for both the hydrogel base lens and the RGP over-lens. After successfully wearing this lens system for one year, she recently underwent strabismus surgery to straighten her left eye.
We use the hydrogen peroxide system UltraCare (Allergan) for disinfecting both rigid and soft contact lenses simultaneously when using a piggyback lens system.
|
|
|
|
Figures 4a-D Presenting appearance of Patient 4 (a). Large fixed pupil and corneal scar following surgeries (b). Prosthetic lens used as an occluder (c). Appearance with prosthetic on right eye
(d).3 |
Case Report 4
Patient Information The patient is a 50-year-old military officer who complains of binocular diplopia and glare.
Ocular History He suffered a ruptured globe with an intraocular foreign body in his right eye and subsequent repair approximately two years prior. He has since undergone a lensectomy, vitrectomy, repeat keratoplasty and a scleral buckle. His current ocular medications (right eye only) include Lotemax (loteprednol etabonate, Bausch & Lomb) bid, Alphagan (brimonidine tartrate, Allergan) tid, Timoptic 0.5 percent (timolol maleate, Merck) bid and Xalatan (latanoprost, Pharmacia) hs.
Vision OD: HM uncorrected; MR OD: +10.25 = 4.25 x 50 degrees = >20/400, eccentric gaze; OS: 20/20 without correction
Manual Keratometry OD: 37.50/46.25 x 143 degrees, 3+ mire irregularity
External OD: ptosis, right exotropia, right hypertropia
Slit Lamp Evaluation (Figure 4a) OD: A large penetrating keratoplasty wound with buried interrupted sutures and a centrally clear graft was noted. The anterior chamber showed 2+ cells and 3+ flare with approximately 200 degrees of peripheral anterior synechiae. The pupil is dilated to 8.0mm and fixed.
Assessment (Figure 4b) The right eye is aphakic with a clear corneal graft, dilated pupil, paracentral scotoma and limited visual potential. The muscle imbalance is allowing binocular diplopia and the large pupil is partially responsible for the glare.
Contact Lens Fitting/Outcome (Figures 4c and 4d) The patient was fitted with a prosthetic contact lens for improved cosmesis and the added intent of blocking as much light as possible. A CooperVision Prosthetic lens was fitted.
Parameters:
Base curve
= 8.7mm
Diameter = 14.4mm
Power = Plano
Color = #13
Pupil = 4.5mm; opaque black (maximum
occlusion)
Iris = 12mm
Discussion The lens provided a good cosmetic appearance and blocked "99.9 percent of the light" by the patient's estimation. The patient's symptoms of glare and diplopia were resolved by the occlusal properties of the lens.
Discussion
Prosthetic contact lenses may be indicated over clear corneas or heavily scarred corneas. The gas exchange through prosthetic lenses is often limited due to the qualities of necessary materials and manufacturing processes including placement of opaque backing. This does not create a problem for clear corneas with good endothelial function or for heavily scarred and vascularized corneas where oxygen transmission is of limited concern. Prosthetic lens use on a compromised cornea that has edema or bullae may be sufficient to cause corneal decompensation.
A very important step in prosthetic lens fitting is setting appropriate patient expectations. Never promise more than you can deliver. We like to inform patients in the initial visit that we can make an improvement, but that we will not make a perfect match. We have found it useful to let patients watch the diagnostic fitting so they can better appreciate the prosthetic matching process.
Two companies of note that offer simplified fitting methods are CIBA Vision and CooperVision. Additional laboratories offer customized lens tinting, painting and other services (Table 1).
|
TABLE 1U.S. FDA Approved Prosthetic Lens Laboratories |
|
| Adventures in Color: | 800-537-2845 |
| CIBA Special Eyes Program: | 800-488-6859 |
| Cooper Vision: | 800-538-7824 |
| Crystal Reflections: | 800-807-8722 |
Today's prosthetic lens options are powerful tools. When a patient changes their appearance from disfigurement to normalcy it can stimulate a positive change in self-confidence. The improvement of physical characteristics can have a significant impact on their mind, personality and sense of self.


