CONTACT LENS COMFORT
A Comprehensive Guide to Soft Lens Comfort
Increasing ocular comfort will keep patients wearing lenses — and help others return to lens wear.
By David L. Kading, OD, FAAO
Dr. Kading practices in a contact lens and dry eye practice in Seattle, Wash. He writes and lectures about allergies, dry eye, contact lens designs and solutions. Contact him at doctorkading@gmail.com. |
Today, medical devices are becoming more and more advanced. This is also true in the contact lens world. Never before has there been the level of contact lens designs, materials or solutions that are available now.
Contact lenses are becoming more comfortable, and we're learning a great deal about lens-solution compatibility. We now have more information and options to help us fit patients in contact lenses, and yet it appears that contact lens growth has plateaued at just over 35 million Americans.
Every year approximately 3 million patients enter contact lens wear and 3 million drop out. This trend has remained consistent over the past few years despite the introduction of many new contact lens options. Fortunately, studies also show that 30 percent to 50 percent of these patients drop out temporarily. Many wait approximately two years before getting refit with contact lenses.
Such patients can be difficult to refit successfully in lenses. They may be skeptical about the level of vision and comfort they'll achieve. Keeping existing and returning patients comfortable in contact lens wear can be a daunting task. Here we'll review the causes of lens dropouts, the signs and symptoms of uncomfortable lens wear and solutions to common comfort problems. With these tools you can achieve success.
Figure 1. Lens deposits. Deposit buildup on contact lens surface.
The Cause
The main reason why patients drop out of lens wear is ocular discomfort or the sensation of dry eyes. A hallmark symptom of contact lens ocular dryness is increased discomfort as the day proceeds. Other symptoms that are associated include soreness, pain, itching, red eyes, gritty sensation and light sensitivity. The majority (50 percent to 75 percent) of all contact lens patients report having at least one of these symptoms.
Nichols et al (2005) completed a study with 893 patients who were emmetropes, contact lens wearers or spectacle wearers. The subjects answered questions related to frequency and intensity of dryness. They were also asked to rate their dryness intensity throughout the day. Eighteen percent of emmetropes reported experiencing dryness at least occasionally, whereas 32 percent of spectacle wearers and 68 percent of contact lens wearers reported at least occasional symptoms. At the end of the day, 1 percent of emmetropes, 7 percent of spectacle wearers, and 15 percent of contact lens patients reported "very intense" dryness. With 68 percent of contact lens wearers reporting at least occasional dryness and 15 percent reporting "very intense" dryness at the end of the day, it should come as no surprise that we have so many dropouts every year.
We can prevent the majority of these dropouts by understanding, diagnosing and treating the underlying cause or contributing factors. Symptoms of discomfort may result from dry eye, allergy, hypoxia, foreign body, a dry lens surface or eyelid disease. As primary eyecare providers we see these conditions on a regular basis and understand their treatment. Actively applying this knowledge to contact lens patients can bring about successful contact lens wear.
Dry Eye
Dry eye syndrome, a major problem affecting millions of Americans, is particularly problematic for contact lens wearers. It affects up to 33 percent of the population worldwide and is among the leading causes of eyecare visits in the United States. It's a multifactorial condition that we're actively gaining more insight into. And yet the diagnosis, detection and treatment regimens aren't universal.
Behrens et al (2006) recently put a new name and face to the term dry eye syndrome. Using a Delphi approach, 17 leading dry eye experts gathered to determine consensus on dry eye disease. They adopted the term dysfunctional tear syndrome (DTS) to refer to what has generically been known as dry eye disease, feeling that the term "dry eye" described only reduced tear volume and did not address tear film composition abnormalities or inflammatory causes. The experts further divided DTS into three classifications: patients with lid margin disease, patients without lid margin disease and patients with altered tear distribution and clearance. Severity of each was further broken down and treatment recommendations were given (Table 1).
Recently Wilson et al (2007) discussed the implementation of these treatment recommendations on 183 patients. They found that the guidelines were easy to follow and didn't require a significant amount of clinical time. This work to classify and describe DTS and its treatment will prove significantly helpful in clinical practice.
You should complete a careful history and thorough evaluation for every new and existing contact lens patient to ensure that he doesn't exhibit symptoms or signs of DTS. If patients develop DTS, it's important to educate them on the underlying cause and that treatment involves improving eye health and contact lens comfort.
Based on DTS recommendations, therapy may include artificial tears (preserved or non-preserved), ointments, nutritional support, topical steroids, topical cyclosporine, tetracyclines or punctal plugs. If necessary, you should remove patients from contact lens wear until their tear film stabilizes.
Ocular Allergy
Nearly 50 million Americans suffer from perennial or seasonal allergies. Among the common symptoms of allergies are redness, dryness, itching, watery discharge, chemosis and lid swelling.
These symptoms closely resemble many of the hallmark symptoms of dry eye disease and contact lens discomfort. Because of the similarities of these conditions, many consumers purchase over-the-counter relief instead of seeing their eyecare practitioner. Embarrassingly, optometrists and ophthalmologists write only 40 percent of all the prescriptions for patients who have ocular allergies.
Over-the-counter (OTC) remedies represent nearly 90 percent of all allergy drops sold. Many OTC allergy medications can have negative side effects including pupillary dilation, blurred vision, rebound congestion and epithelial erosion from a preservative or agent in the drop. The ocular environment created by some of the OTC medications is not as conducive to contact lens wear.
Contact lens patients exhibiting dry eye or systemic allergy symptoms may benefit from a thorough ocular allergy evaluation to determine whether their symptoms have an allergy component.
When allergy is part of the problem, prescribe the proper treatment. Ocular allergy treatments for contact lens patients may include medication, lens modality or schedule change and palliative treatment. Contact lens wearers need medications that are convenient (because of the inability to instill the drop over the contact lens), that eliminate the itch and redness and that have a protective component to ocular mast cells while maintaining a strong antihistaminic component.
For long-term allergy relief, using an antihistamine/mast cell stabilizer combination is recommended because such medications block histamine uptake by the H1 receptors and stabilize mast cells from degranulation. The most frequently used medications on the market hold b.i.d. schedules. Recently, Alcon released Pataday (olopatadine 0.2%), a once daily combination drop allowing for convenience and compliance.
In addition to medications, contact lens wearers may benefit from daily disposable contact lenses during allergy season. Daily disposable lenses eliminate the risk of reintroducing the allergen into the ocular environment on subsequent lens applications.
For extended wear patients, consider temporarily changing their wearing schedule to daily wear. And don't underestimate the power of palliative strategies. Educate patients on the benefits of cool compresses and artificial tear flushing. Environmental considerations are also important. Instruct patients to sleep with windows closed and the fan or air conditioning on. Patients may also not realize that showering before going to bed and changing their pillow cases are helpful.
Figure 2. Upper eyelid eversion revealing an abnormal tarsal surface.
The Eyelid
A commonly overlooked area in the quest for comfort is the upper eyelid. Consider that the average patient has an 11mm palpebral fissure and blinks about 15 times per minute. With further calculation, the average patient's eyelid travels nearly 40 miles per year. With this distance in mind, everting the eyelid is a critical component in a thorough evaluation of an uncomfortable lens wearer. Prior to the release of frequent replacement and daily disposable lenses, patients would often present with GPC from deposit buildup on their lenses (Figure 1). Fortunately, disposable lenses reduced the number of patients who developed this mechanical and allergic condition. However, a resurgence of the condition has occurred recently with silicone hydrogel lenses.
Silicone is very hydrophobic and lipophilic, making it a likely surface for deposits. Because patients often replace their soiled lenses prior to coming in for their visit, it's a good idea to evert all patients' eyelids to evaluate the appearance of their tarsal plate (Figure 2). If a patient is asymptomatic and has grade 2 or higher GPC, or if the patient is symptomatic and has even the mildest of GPC, consider changing his solution, revisiting the cleaning instructions that include a rub and rinse step or switching the patient to a different lens modality such as daily disposables.
In addition to tarsal plate damage, contact lenses alter the pre-lens tear film, which can have negative effects on the lid-wiper portion of the eyelid. The lid wiper, as described by Korb (2005), is a part of the upper eyelid margin that acts as a wiping surface, spreading tear film across the ocular or contact lens surface. Korb further described lid-wiper epitheliopathy as a condition in which the lid wiper portion of the upper eyelid becomes irritated and has positive vital dye staining. In his study he found that the majority of symptomatic patients (80 percent) displayed staining of the lid-wiper area. It's believed that the condition results from the altered tear film on the anterior surface of the contact lens.
You should switch patients who present with signs of lid wiper epitheliopathy to a different contact lens material that wets better or to a solution that has a low wetting angle, or you can provide an artificial tear that will reduce the damage to the lid-wiper area.
Figure 3. Solution-induced staining viewed with Wratten filter.
Lens Materials
Current lens materials have the amazing capability of providing clarity of vision while remaining biocompatible with the cornea and the tear film.
When deciding the proper material for your patients, keep these three keys in mind.
Does the material come in a lens design that provides the patient with the most appropriate optics for their visual needs? Understanding the lens choices that are available for the visual needs of a patient is the first step in lens selection. Without a lens that provides the necessary visual clarity, a patient may discontinue contact lens wear. Selecting the healthiest option may not be the best option if a patient can't see out of the lens. Fortunately many lens materials are becoming available with toric and multifocal designs after establishing success with spheres in the marketplace.
Does the material come in a design (edge design, base curve selections, diameter selections, oxygen transmission) that maintains the integrity of the tear film, cornea and conjunctival tissues? Several lenses are limited to one base curve and diameter, which somewhat limits the number of patients you can fit. A lens that's too loose or too flat can negatively affect the comfort level and integrity of the cornea or tear film.
In addition to base curve and diameter selection, edge design has an effect on the ocular surface. Løfstrøm and Kruse (2005) reported on 16 patients who wore either balafilcon A or lotrafilcon A lenses on a 30-day continuous wear basis for at least six months. Thirty-four percent of the patients presented with what the authors referred to as conjunctival flaps. This was an area of staining adjacent to where the lens edge and conjunctiva met.
Several theories suggest the sharpness of the lens edge as the cause of the staining and appearance of flaps. Most patients were asymptomatic to the condition, but this finding presents the question of long-term conjunctival health consequences.
After determining which lenses provide the best optics for the patient, select the lens that best maintains the physiology of the corneal and conjunctival tissue in its non-lens wearing state. As time goes on, this will include more silicone hydrogels and daily disposables.
Will the surface of this lens material (including any surface treatment) interact appropriately with the patient's tear film (patient's tendency to deposit on lenses)? This is the age old question that has driven the contact lens material and solution manufacturers to develop state-of-the-art products. However, hydrogels and silicone hydrogel lenses alike have their Achilles heel when it comes to deposits. It's impossible to know exactly how a patient's tear chemistry will interact with a lens material before you place it on the eye. Each patient's tear chemistry is unique. Evaluating the lens after in-office application and at an extended follow up can reveal very important information related to the patient's short and long-term comfort. Schedule patient follow-up visits at the end of the lens wearing schedule. This allows you to evaluate the lens surface in its worst state.
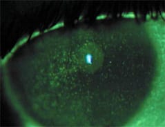
Lens Solutions
When it comes to contact lens irritation, dryness or corneal staining, the solution is guilty until proven innocent (Figure 3). For most patients, the right solution is the key to contact lens comfort and ultimately, to successful wear. Solutions are often overlooked by patients and practitioners. Patients perceive contact lens solution as a consumer product that's price driven. They overlook the fact that solutions are critical components to their contact lens package. Many practitioners view solutions as an accessory that does not directly affect their financial bottom-line. Prescribing the appropriate solution and communicating effectively with your patients so they understand the important relationship between solution and lens material will increase comfort, success and loyalty.
Three components are needed to make patients successful with their solution:
- The solution should clean the lens of pathogens, lipids, protein and debris.
- The lens/solution combination should have reasonable compatibility.
- The solution should establish a stable surface that maintains wettability for the duration of lens wear.
The FDA has set certain guidelines that all contact lens solutions are required to meet in order to reach the marketplace. We can be encouraged that all solutions on the store shelves have gone through extensive manufacturing and clinical studies. After a solution is on the market, research and observation are continued to ensure patient safety. We were reminded recently of the due diligence that our industry exhibits when a product doesn't meet or exceed these standards as evidenced by several voluntary recalls.
Lens-solution compatibility has been highlighted extensively in the past year by the work of Gary Andrasko, OD, FAAO. Dr. Andrasko's work, presented at www.staininggrid.com, compares various lens-solution combinations and the amount of staining after two hours of lens wear. The variations are enlightening regarding the lens-solution combinations that cause little to no corneal staining. Other studies have examined the relationship with corneal staining and lens wear, but few of the studies reference the time of staining after lens application. According to Garofalo et al (2005), maximum corneal staining appears between two and four hours after lens application. Yet most of the research and clinical evaluations are done outside this time frame or don't reference the time that staining was evaluated.
Patients with significant solution-related corneal staining are three times more likely to experience inflammatory events. Staining is an important component of lens wear from a safety standpoint, and according to the staining grid Web site, it plays a role in comfort as well. Evaluating lenses two to four hours after application will ensure that the solution prescribed is providing the comfort desired while maintaining a healthy ocular surface.
Contact lens wettability is crucial in maintaining a smooth, clean lens surface. Solutions that have a low wetting angle allow the tear film to form a smooth layer over the contact lens surface. This is a critical component because it aids in resisting debris and microorganisms and keeps the lens moist and comfortable. Slit lamp evaluation under high magnification can help determine surface abnormalities and wettability issues. Patients who present with deposits of any kind are revealing that they have a high tendency to deposit with the specific material they're wearing, they aren't rubbing and rinsing their lenses upon removal or that they need a solution that provides a lower wetting angle.
Conclusion
With nearly 10 percent of the contact lens population dropping out of lens wear every year, we have a responsibility to make every contact lens patient as comfortable as possible.
Look carefully for conditions that lead to discomfort (dry eye, allergy, hypoxia, foreign body, a dry surface, eyelid irritation or inflammation). Evaluate which lens material and design will best suit a patient's needs and physiology. Ensure that the lens care solution is compatible with the lens material and that it's establishing a clean wet surface. Routinely completing these simple steps with your contact lens wearers will result in comfortable, loyal patients. CLS
To obtain references for this article, please visit http://www.clspectrum.com/references.asp and click on document #141.


