CUSTOM SCLERAL DESIGN
Managing Filamentary Keratitis With Mini Scleral Contact Lenses
Custom-designed scleral lenses helped relieve a patient's ocular symptoms of graft versus host disease.
By Alerino M. Iacobbo, OD
Dr. Iacobbo graduated from the Pennsylvania College of Optometry in 1977. Although he retired from active practice 12 years ago, Dr. Iacobbo serves as a consultant for patients who have extremely dry eyes. |
About two years ago, a patient presented as a 59-year-old male who was diagnosed nine years prior with chronic myelogenous leukemia (CML). He received an allogeneic bone marrow transplant (BMT) at that time, and the leukemia has been in remission. One of the side effects of the chemotherapy, radiation, and BMT is graft versus host disease (GVHD).
Combatting GVHD
Once transplanted marrow has been established in a patient, it initiates an immune defense against the patient. Initially, GVHD was classified as acute or chronic. Acute GVHD occurs during the first 100 days following BMT. Chronic GVHD appears after the first 100 days. Although the National Institute of Health has altered these classifications, it is important to recognize that 11 years following BMT, our patient still experiences GVHD to a level significant enough to alter his quality of life (Espandar, 2008).
Although GVHD may affect each patient to different degrees and in different areas of the body, for our patient GVHD manifested itself with muscle spasms, particularly for fine motor skills; mucous membrane irritations; significant fatigue; and reduced immunity to infections. He reported that he has experienced more than 16 episodes of pneumonia. As noted before, it has been 11 years since the BMT, and the incidence and degree of the systemic GVHD flare-ups have decreased. He takes oral steroids daily as a prophylactic for GVHD flare-ups; the steroid dosage is increased when a GVHD flare-up occurs.
The first ocular occurrence of GVHD for the patient occurred during his first hospital admission for the BMT. While being transported in a wheelchair, the patient experienced significant pain from ocular dryness. To date, air movement is still a problem for him, as it is for all severe dry eye patients. During the past three years, Restasis (Allergan) and punctal plugs have not been successful. He was using ocular lubricants at least hourly. He also had issues with the presence and removal of corneal filaments and the pain of iritis.
About two years ago, the patient returned from the Florida Keys and was hospitalized for dehydration, at which time it was recommended that he seek care for the ocular dryness. At that visit, the unaided acuity was OD 20/25+ and OS 20/60−. He had an early posterior sub-capsular cataract (PSC) OD and cortical cataract (CC) and corneal epithelial opacity (EO) OS. The superior bulbar conjunctiva OS demonstrated injection from 10 o'clock to 1 o'clock in a wedge shape with the apex at the limbus. The patient's chief complaint was pain with blinking. Ptosis OS was present where the lid lagged below the filaments. Additionally, he had filamentary keratitis (FK) and iritis OS. The filaments were removed, and atropine relieved the pain.
Initial Management of Filamentary Keratitis
FK is characterized by limbal hyperemia, possible pseudoptosis, tearing, photophobia, and ocular pain ranging from moderate to severe (Handbook of Ocular Disease Management, 2002). Filaments are mucous strands of which one section is attached to the cornea and another section floats in the tear film. Damaged epithelial cells may attach to the filaments. Keratoconjunctivitis sicca usually accompanies FK (Pavan-Langston et al, 1985).
The patient's oncologist recommended a corneal clinic in an adjacent state at which many patients have received treatment for ocular GVHD. The doctors of this corneal clinic preferred not to remove the filaments, so the patient returned to our office for this procedure. Additionally, the doctors of the corneal clinic fit the patient with large-diameter scleral (LDS) lenses made in a material with very high oxygen permeability.
Due to decreased corneal sensitivity, the patient initially experienced difficulty with awareness of a bubble under the scleral lenses. During the following year, the patient's LDS lenses were changed several times. Unfortunately, wearing time continued to decrease. The edge of the LDS lenses blanched the conjunctival vessels to the extent that fluorescein dye would not travel under the edge of the lenses. The blanching of the conjunctival vessels produced corneal edema, which was accompanied by halos around lights. These halos subsided with removal of the LDS lenses.
The patient reported difficulty removing the LDS lenses because of adherence. When the lenses were removed, there was significantly more irritation OS than OD. The following day the OS was very irritated. These signs were perceived to result from the tight fit of the lens (Sindt, 2008).
Figure 1 was taken after the patient had worn the LDS lenses for about four hours. Antibiotic ointment applied to the lids and cornea was not successful. We felt that the fit of the lenses could be improved.
Figure 1. Patient's cornea following wear of a large-diameter scleral lens for four hours.
Figure 2 was taken one week later after the patient had worn redesigned LDS lenses for about three hours. Blanching of the conjunctival vessels and chemosis are prominent.
Figure 2. A redesigned large-diameter scleral lens resulted in blanching of conjunctival vessels and chemosis.
Figure 3 was taken upon removal of the redesigned LDS lenses from Figure 2. The analysis was that the cornea and conjunctiva were not typical of ocular GVHD. The corneal clinic prescribed oral anti-viral medications.
Figure 3. Appearance of cornea following removal of redesigned lenses from Figure 2. Oral anti-viral medications were prescribed.
Figure 4 was taken about two weeks after completion of the anti-viral medications. The patient had worn the LDS lenses for about three hours before removal for this photograph.
Figure 4. Appearance of patient's cornea following two weeks of antiviral therapy. The lens had been worn for approximately three hours and removed for the photograph.
Although the LDS lenses were not a perfect solution, they provided considerable clinical insight. The patient experienced slight improvement with corneal sensitivity OS. The LDS lenses served as a barrier to the upper lid irritating the cornea with each blink. When not wearing his lenses, the patient would close his left eye to avoid the irritation from the upper lid.
Redesigning the Contact Lenses
About six months ago, the patient requested that we find another solution to his pain from ocular GVHD. Three avenues of approach were available. The first would entail extracting serum from the patient's blood to be filtered and used as preserved artificial tears. A second option would be to surgically alter the OS palpebral conjunctiva to prevent irritation of the OS epithelium with the blink. The third approach was to custom design mini scleral GP lenses. Despite a lack of complete success with the LDS lenses, there were some positive signs for this approach. Neither of the first two options appeared very palatable to the patient, so we decided to custom design mini scleral lenses.
There were no clinical signs of any upper lid anomalies which would irritate the cornea. The normal action of the lids is to wipe the cornea with tears, but this lid action merely adds to the irritation of a severely dry cornea. This was verified in our patient by the initial reduction in pain when wearing the LDS lenses. Thus, a barrier to the lid interacting with the cornea was needed.
Clearly, soft contact lenses have proven to be of value in providing such a barrier. However, it was clinically noted that both high- and low-water content soft contact lenses merely added to the irritation of the patient's cornea. This was presumed to result from the “sponge-like characteristics” of soft lenses and poor adherence of the cells of the epithelium.
The ophthalmologist and four optometrists of this office agreed that:
- The tight fight of the LDS lenses only aggravated the patient's severely dry eyes, especially when a GVHD flare-up was present.
- High oxygen permeability of the lens material could not supply all of the necessary nutrients to the cornea.
- Despite the volume of application lubricants afforded by a large-diameter lens, steep sag, and the restriction of flow by peripheral curves, there is no GP lubricant or artificial tear comparable to the diverse composition of tears.
It was agreed to design a scleral GP lens with the following characteristics:
- Little to no adaptation time required.
- A design that would prevent the lid from interacting with the cornea.
- A material with high oxygen permeability.
- A central sagittal depth that would retain a sufficient volume of tears to bathe the cornea.
- Peripheral curves that allow for the exchange of tears to nourish the cornea and to remove metabolic waste.
Figure 5 shows the physical differences between the LDS lens and the custom mini scleral design. Note that the LDS lens has a larger diameter and greater sagittal depth. Additionally, the larger surface area of the LDS lenses should have provided a greater amount of oxygen to the cornea via the oxygen permeability, but the oxygen supply of the LDS lenses was insufficient for this patient's cornea.
Figure 5. A comparison of the patient's large-diameter scleral lens and the custom mini scleral lens.
We selected Blanchard's Mini Scleral Design (MSD) as our lens of choice for this patient. The MSD has a diameter of 15.8mm, which is a considerable reduction in volume from 18.2mm of the original LDS lenses. This minimized peripheral adherence and eliminated blanching of the conjunctival vessels. Additionally, by adjusting the sagittal depth and peripheral curves of the MSD, we further reduced the volume and introduced slight movement. Although we felt that altering the sagittal depth and peripheral curves would eliminate central air bubbles, the fenestrations of the MSD design can also assist in removing any central air bubble introduced during application. The high oxygen permeability of the Boston XO (Bausch + Lomb) lens material worked in conjunction with lens movement and design to facilitate corneal healing.
Corneal erosion had compromised the patient's cornea OS to the extent that no adequate corneal K reading could be verified. The K measurement OD was 43.50/44.00. Thus, we used an empirical approach to fit the MSD design.
Blanchard provides an MSD fitting set. The recently expanded parameters include:
- Sag values from 3.80mm to 5.60mm in 0.20mm steps.
- Standard, increased, and decreased midperipheral/limbal clearances.
- Plano power.
- 15.8mm diameter and a new 18.0mm diameter, with custom diameters available.
- Available in non-fenestrated and fenestrated designs, although non-fenestrated is recommended.
The trial lens set includes 30 lenses representing each of the 10 sag values with each of the midperipheral/limbal clearances.
The fitting of the lenses for this patient appeared almost too easy. Perhaps the ease of the fitting was due to the amount of time we invested into designing a scleral lens that relied more heavily on minimal lens movement, tear retention of the sag, and peripheral adjustments than on merely oxygen permeability of the lens material to promote corneal healing.
At dispensing, the patient experienced immediate comfort upon application and required no adaptation time. Distance acuity was OD 20/20 and OS 20/25+2. It is worthy to note that the VA OS did improve with dilation, which allows the pupil to be larger than the epithelial opacity. Movement was 0.25mm. The lenses positioned centrally and surrounded the limbus in an even fashion. Fluorescein easily traveled from the conjunctival/lens border to the center of the lens. There has never been a central air bubble. The filaments appeared to have healed during the first day of wear.
Improved Quality of Life
It has been more than six months since the initial dispensing of the patient's MSD lenses. During this time, the patient has experienced significant systemic GVHD flare-ups. Typically, these flare-ups would have produced many ocular side effects. However, the patient reports not one episode of FK since the initial dispensing of the custom MSD lenses. The most significant ocular effect that the patient experienced from these GVHD flare-ups was a reduction in wearing time. Typically, wearing time has been all waking hours. The patient applies lubricants three or four times each day. Corneal sensitivity has increased significantly. The patient has experienced no incidents of halos around lights.
The patient reports that during a systemic GVHD flare-up, he experiences a hyperemic wedge from 10 o'clock to 1 o'clock OS, but this wedge decreases after a few hours of MSD lens wear. There is no pain with removal of the custom MSD lenses, which correlates with a well-fitting scleral lens. Follow-up visits have taken place at various times during the day, and we have never seen any evidence of blanching of the conjunctival vessels.
Although corneal staining has decreased significantly, it does appear mildly during GVHD flare-ups. The ocular and systemic effects of GVHD may never completely disappear; however, the quality of life for this patient has increased dramatically with wear of the MSD lenses.
Recently, the patient experienced systemic flu-like symptoms. To further validate this report, the patient did not increase his steroid dosage and did not wear the MSD lenses during this flare-up. Thus, the systemic and ocular GVHD did return along with the FK.
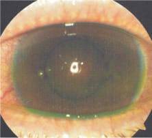
Figure 6 shows the FK with fluorescein dye. Figure 7 shows the same eye after having worn the MSD lens for about four-and-one-half hours. Note the decrease in conjunctival injection, the absence of FK, and the absence of limbal vessel compression.
Figure 6. Filamentary keratitis following a GVHD flare-up.
Figure 7. Resolution of filamentary keratitis after four hours of custom MSD wear.
Summary
The patient in this case had severely dry eyes due to chemotherapy and radiation therapy for leukemia. Traditional approaches of Restasis and punctal plugs were not successful. Equally unsuccessful were LDS lenses that had a steep sagittal depth and did not allow for sufficient tear flow. We custom designed MSD lenses with a reduced overall diameter and sagittal depth, and we altered the peripheral curves to provide sufficient tear flow. With these lenses, the FK disappeared within a few hours. The MSD lenses have improved our patient's quality of life. CLS
For references, please visit www.clspectrum.com/references.asp and click on document #177.


