At this year’s Global Specialty Lens Symposium (GSLS) in January, custom tinted contact lenses had a relatively small but visible presence as a category in both the poster hall and from the podium. The following material-related questions were posed by attendees and warrant discussion:
- “Can I tint a GP lens?”
- “Where can I get a painted scleral lens?”
- “Are there any silicone hydrogel (SiHy) material options for colored contact lenses?”
Let’s review the tinting process to understand the answers to these questions. There are essentially three gross methods to add color to any contact lens material.
Methods to Add Color
Process #1 A colorant can be distributed uniformly throughout the entire matrix of a lens. This is the case when pigments are either dispersed in the monomer mixture and they bond to the lens prior to polymerization to form the final contact lens, or finished lenses are soaked in dyes and treated to allow for permanent entrapment of color in the lens polymer.
Lenses can be pigmented edge to edge as is the case for everyday visibility or handling tints in both soft (hydrogel and SiHy) and GP contact lenses. The intensity of this tint can be varied, but is typically translucent, allowing view of underlying ocular structures. To decrease symptoms associated with glare and photophobia, more colorant can be added to decrease the percentage of light transmitted through it.
Process #2 A colorant can be pad-printed onto the surface of a contact lens. The concept of “sandwiching ink” would incorporate both pad printing (to apply the ink) and molded lens creation, for which both hydrogel and SiHy options are commercially available in high-volume lens manufacturing (Figure 1). However, more detailed designs come from ink applied to the top surfaces of lathe-cut lenses. Currently, this process is optimized for HEMA-based materials only (i.e., hioxifilcon and methafilcon).
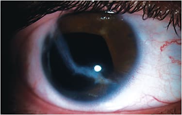
Process #3 Custom hand-painted designs offer the highest degree of detail. To improve cosmesis in an affected eye (Figure 2), fine details of the typically unaffected/less affected fellow eye captured in a high-definition image are matched to achieve a natural-looking final lens. Again, this process is currently optimized for pigments that can bond to low-water-content hydrogel lens material options only.
Until industry advancements are made regarding the application of pigments to various contact lens materials, we continue to be limited in our custom-tinted contact lens design options. CLS


