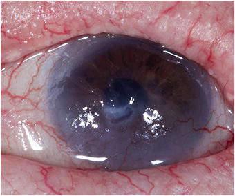
Ocular cicatricial pemphigoid, commonly referred to as OCP, is a rare disease of systemic autoimmune origin primarily affecting patients between the ages of 50 to 60 years.1 Estimates vary between 1:8,000 to 1:46,000.1 There are reports of younger patients and evidence that it may start earlier in life because it is easily missed until more advanced stages. There is a mild predilection toward females (1.5:1.0), but no geographic or race differences are apparent.2
The exact mechanism of the cicatrization is poorly understood but appears to be a defect in immunoregulation, with increased production of inflammatory cytokines and autoantibodies.1 The activation of fibroblasts results in excess collagen production, leading to scarring in mucous membranes. This may occur in other mucous membranes in the body as well.
As this is an autoimmune disease, topical treatments are not effective. Patients may require supportive therapies—such as amniotic membranes, amniotic grafts, or scleral contact lenses—while they undergo systemic chemotherapy.2 If not treated aggressively, severe corneal scarring, neovascularization, and conjunctival fibrosis may result.3
REFERENCES
- Foster CS, Letko E, Hamam R, . Ocular Cicatricial Pemphigoid. Medscape. 2019 Jul 16. Available at https://emedicine.medscape.com/article/1191261-overview . Accessed March 24, 2020.
- Foster S, Zone JJ, Ofori AO. Ocular cicatricial pemphigoid. 2019 Jul 17. Available at https://www.uptodate.com/contents/ocular-cicatricial-pemphigoid?search=%22Ocular%20cicatricial%20pemphigoid%22&source=search_result&selectedTitle=1~6&usage_type=default&display_rank=1 . Accessed March 24, 2020.
- Foster CS. Cicatricial pemphigoid. Trans Am Ophthalmol Soc. 1986:84:527-663.


