Patients who wear GP corneal or scleral lenses can have binocular vision anomalies that cause visual dysfunction. Although these binocular vision issues can be congenital, they are often acquired deficiencies that commonly include decompensating phorias or loss of fusion secondary to longstanding asymmetric reduced visual acuity of one eye (Sherafat et al, 2001). The two case examples presented below highlight the ability to restore binocular function by adding prism to the lens optics.
Case 1
A 69-year-old female patient successfully wearing multifocal corneal GP lenses had 20/20 distance and near visual acuity. She initially complained of “blurry” vision under binocular conditions, but monocularly was asymptomatic. Binocular vision testing revealed 4 prism diopters OD hyperphoria.
The patient’s symptoms improved while trialing 1.00D base-down prism over her right eye while wearing her GP lenses. A duplicate right lens with 1.00D base-down prism was dispensed. At follow up, the patient reported complete resolution of her symptoms.
Case 2
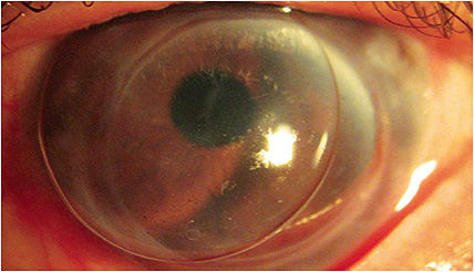
A 71-year-old keratoconus patient who had undergone penetrating keratoplasty in both eyes was successfully wearing corneal GP lenses, although the fit of the left lens was less than ideal. The patient had previously failed in a scleral lens refit of his left eye secondary to a lack of motivation to apply the scleral lens. At a recent follow-up visit, although the patient’s visual acuity with lenses measured OD 20/25 and OS 20/40, he complained of longstanding vertical diplopia. Binocular vision testing measured 6 prism diopters OS hypertropia.
Trialing prism over his contact lenses showed that the patient could comfortably fuse 2.00D base-down prism in front of his left eye, which was incorporated into a duplicate new left corneal GP lens (Figure 1). After dispensing and follow up, the patient reported comfortable binocular vision without diplopia.
Troubleshooting Recent Diplopia
For patients complaining of recent diplopia, make sure to first rule out a malignant cause for the manifested imbalance. Using a trial frame or loose prisms, determine the least amount of prism that relieves patients of their symptoms. The maximum amount of prism that can be added is approximately 5.00D secondary to the increased thickness that is required in the lens design (Vincent and Fadel, 2019). Generally, it is easier to stabilize base-down than horizontal prism; however, incorporating customized landing zones, especially free-form designs, makes it possible to add prism horizontally.
Additional prism incorporated into a pair of glasses worn over contact lenses will be necessary for some patients to achieve single clear binocular vision. CLS
For references, please visit www.clspectrum.com/references and click on document #292.


