Hidradenitis Suppurativa
Hidradenitis suppurativa (HS) is “a chronic systemic inflammatory disorder of the terminal follicular epithelium in the apocrine gland-bearing skin.”1 This disease primarily affects Caucasian women (58.8%).1 Oftentimes, comorbidities exist with HS, the most common being anterior uveitis and episcleritis; less common, but also associated, were optic neuritis, keratitis, scleritis, posterior uveitis, trochleitis, and dacryoadenitis.2 Because the apocrine-bearing glands of the skin are targeted, inflammatory nodules may occur in the axillary, groin, perianal, and perineal regions of the body.3 It is more common in patients who are female or obese, and smokers may experience a more severe case.3
In one study of 20 patients (80% female), 13 (65%) had other autoimmune comorbidities including inflammatory bowel disease (Crohn’s disease), rheumatoid arthritis, ankylosing spondylitis, multiple sclerosis, and lupus.3
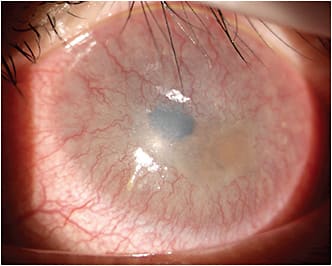
In the case pictured, neovascularization was profound. If not treated with immunosuppressive therapy, scarring and vision loss may result. Topical steroids are commonly used in cases involving the anterior segment of the eye. In some cases in which an escalation of therapy was indicated, injectable medications such as infliximab and adalimumab have been used with success.3
References
- Josaphouitch A. Ocular Comorbidities Prevalent Among Patients with Hidradenitis Suppurativa. M.D./Alert. 2021 Mar 2. Available at www.mdalert.com/article/ocular-comorbidities-hidradenitis-suppurativa-1 . Accessed Dec. 21, 2021.
- Lee DJ, Desai S, Laurent E, Kopplin L. Characterization and Management of Inflammatory Eye Disease in Patients with Hidradenitis Suppurativa. Ocul Immunol Inflamm. 2020 Apr 7;1-6.
- Saygin D, Syed AU, Lowder CY, Srivastava S, Maya JJ, Haji-Ali RA. Characteristics of inflammatory eye disease associated with hidradenitis suppurativa. Eur J Rheumatol. 2018 Sep;5:165-168.


