SALZMANN NODULAR DEGENERATION (SND) presents clinically as white or blue opacities that are typically located in the peripheral cornea. SND is more commonly found in Caucasian females in the sixth or seventh decade of life and is bilateral more than 50% of the time (Brown et al, 2023; Paranjpe et al, 2019).
Although the exact mechanism of SND is not known, it is hypothesized that mechanical disruption of the barrier between the epithelium and stroma secondary to chronic inflammation from dry eye and meibomian gland dysfunction or corneal surgery leads to accumulations of excessive extracellular material that creates a nodule just below the epithelium (Brown et al, 2023; Hamada et al, 2011).
Patients who have SND may complain of foreign body sensation and irritation. SND can cause significant corneal irregularity that decreases best-corrected visual acuity (BCVA) with glasses or soft lenses. For patients who have mild SND, lubricating drops are often prescribed—or immunomodulating topical therapy, when inflammation is thought to be a factor.
Superficial lamellar keratectomy is an option for moderate SND; however, recurrence has been reported in 22% of cases with deeper stromal defects (Paranjpe et al, 2019; Graue-Hernandez et al, 2010). Scleral contact lenses can be an alternate management strategy, especially for patients who have variable vision or reduced visual acuity secondary to corneal irregularity.
CASE #1
A 54-year-old female patient reported for scleral lens fitting. She was diagnosed with SND in both eyes and central anterior basement dystrophy OD, and was post-penetrating keratoplasty OS secondary to central corneal scarring. She presented with longstanding dry eye and was using artificial tears b.i.d. in both eyes, lubricating gel q.h.s. in both eyes, and pred forte 1% q.d. OS. She had fluctuating vision with –5.75 –2.75 x 050 20/40 OD and–9.50 –4.25 x 030 20/100 OS, although she improved to 20/20 in her right eye with a recent prescription glasses adjustment.
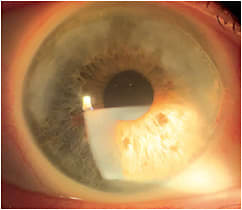
Slit lamp exam showed peripheral SND OD (Figure 1) and a clear corneal transplant OS with mild peripheral SND. Corneal topography showed significant corneal irregularity OS > OD. She was fit with a 16.5mm free-form scleral lens with visual acuity of 20/20 OD (Figure 2) and OS. She reported less dryness with scleral lenses and no longer uses daily artificial tears.
CASE #2
A 33-year-old female was followed for peripheral SND, meibomian gland dysfunction, and dry eye, all in both eyes. The patient routinely used artificial tears PRN, lid scrubs q.d., and topical hypochlorous acid spray, all in both eyes.
Her BCVA had declined from 20/20 OD and OS to 20/30 OD and 20/40 OS. Corneal topography showed moderated corneal irregularity in both eyes and she was referred for scleral lens fitting.
The patient was successfully fit with 16.5mm scleral lenses that improved her visual acuity to 20/20 OD and OS. The patient was satisfied with her improved vision and her SND has remained stable.
SND and associated dry eye can result in decreased comfort and vision. Scleral lenses are ideal for improving patient symptoms and improve visual function. CLS
References
- Brown AC, Nataneli N. Salzmanns Nodular Corneal Degeneration. [Updated 2022 Jul 25]. In: StatPearls [Internet]. Treasure Island (FL): StatPearls Publishing; 2023 Jan. Available at ncbi.nlm.nih.gov/books/NBK560684/# . Accessed May 22, 2023.
- Paranjpe V, Galor A, Monsalve P, Dubovy SR, Karp CL. Salzmann nodular degeneration: prevalence, impact, and management strategies. Clin Ophthalmol. 2019 Jul 25;13:1305-1314.
- Hamada S, Darrad K, McDonnell PJ. Salzmann’s nodular corneal degeneration (SNCD): clinical findings, risk factors, prognosis and the role of previous contact lens wear. Cont Lens Anterior Eye. 2011 Aug;34:173-178.
- Graue-Hernandez EO, Mannis MJ, Eliasieh K, et al. Salzmann nodular degeneration. Cornea. 2010;29:283-289.


