Online Photo Diagnosis
Reticular Sub-epithelial Haze post PRK
By Gregory W. DeNaeyer, OD
A 45-year-old female patient presented for refractive surgery evaluation. She previously wore GP lenses and manifest refraction resulted in -5.75 -0.75 × 105 20/30 and -5.25 -0.75 × 154 20/30 in the right and left eyes respectively. She had been diagnosed with epithelial basement membrane dystrophy (EBMD) and had a history of multiple recurrent corneal erosions. Topographies showed mild orthogonal with-the-rule astigmatism, and pachymetry readings were 508 OD and 501 OS. PRK treatment was recommended rather than LASIK because of her EBMD and relatively thin corneas.
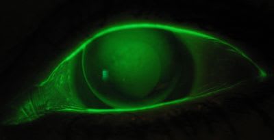
She underwent PRK in both eyes on separate surgery dates one week apart. Unfortunately, she slowly developed sub-epithelial haze (Figure 1) and regression of her myopia in both eyes despite aggressive treatment with topical steroids. An attempt to scrape the sub-epithelial scarring and application of mitomycin in her left eye three years post-operatively failed to reduce the haze. Eight years after PRK her refraction is OD -4.75 DS 20/25 and OS -6.25 DS. The patient was successfully refitted into GP contact lenses (Figure 2) and is satisfied with the vision they provide.
Figure 1
Figure 2
Sub-epithelial haze is scarring that occurs in the anterior stroma following PRK surgery. The vast majority of these cases result after myopic treatment of 6.00D or more. The use of steroid drops in a tapered fashion for three months post-operatively may help to eliminate or reduce the development of haze. Exposure to UV radiation is thought to increase sub-epithelial hazing, so it's important for patients to wear sunglasses with UV protection during corneal stabilization. Some studies suggest that applying 0.02% mitomycin to the cornea post-PRK may help to reduce the incidence or extent of the development of sub-epithelial haze. Also, the refractive results with epi-LASIK can be similar to that of PRK, but patients have been shown to have less haze with this procedure.
References
- Wallau AD, Campos M. Photorefractive keratectomy with mitomycin C versus LASIK in custom surgeries for myopia: a bilateral prospective randomized clinical trial, J Refract Surg 2008 Apr;24(4):326-36.
- Leccisotti, A. Mitomycin C In photorefractive keratectomy: effect on epithelialization and predictability, Cornea 2008 Apr;27(3):288-91.
- Thornton I, Xu M, Krueger RR. Comparison of standard (0.02%) and low dose (0.002%) mitomycin in the prevention of corneal haze following surface ablation for myopia, J Refract Surg 2008;24(1):S68-76.
- Gamaly TO, El Danasoury A, El Maghraby A. A prospective, randomized, contralateral eye comparison of epithelial laser in situ keratomileusis and photorefractive keratectomy in eyes prone to haze, J Refract Surg 2007 Nov;23(9 Suppl):S1015-20.
- Nagy ZZ, Hiscott P, et al. Clinical and morphological resonse to UV-B irradiation after excimer laser photorefractive keratectomy, Surv Ophthalmol 1997 Nov;42 Suppl 1:S64-76.
- Brightbill, Fredrick. Corneal Surgery Theory, Technique, and Tissue, 3rd Edition, Mosby, Inc. 1999.


