Online Photo Diagnosis
By Gregory W. DeNaeyer, OD
A 53-year-old female patient underwent bilateral myopic LASIK surgery OU and developed mild regression OD a few years later. The patient underwent an enhancement OD in which her original flap was lifted. A scalloped border of her inferior flap was noted one-day post op. Three weeks later she started to develop a 5mm band of epithelial ingrowth adjacent to the irregular flap junction. The patient�s uncorrected visual acuity OD was 20/70, corrected to 20/25 with a +2.50 sphere manifest refraction. Topography of her right eye showed significant irregularity.
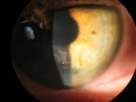
OD ingrowth
It was mutually decided that the patient may benefit from removal of this ingrowth. Her flap was lifted and the epithelial cells were scraped away. Unfortunately, a 2mm area of ingrowth returned four weeks later that remained unchanged for eight months. Refraction OD remained +2.50 sphere, giving her 20/25 visual acuity. We decided not to remove any more of the ingrowth because of its relatively small size and stability without progression. Topography of her right eye showed an area of decentered flattening that was probably influenced by her remaining ingrowth. The patient decided to be fit with a GP contact lens to correct her hyperopia and mask her corneal irregularity. We successfully fit her with a scleral contact lens that provides 20/20 vision and all day comfort.
|
|
| Final topography (left) and Scleral RGP (right) | |
Discussion:
Epithelial ingrowth, as it pertains to LASIK, is an invasion of epithelial cells at the flap interface. It appears as faint white or gray opacity underneath the flap. These cells either migrate from the flap edge or are introduced into the interface during surgery. The reported incidence varies from 1 percent to 12 percent for initial LASIK treatment and 2 percent to 32 percent after LASIK enhancement. Risk factors for developing epithelial ingrowth include pre-existing epithelial abnormalities, flap instability, repeated LASIK surgery, history of ingrowth in the other eye, and hyperopic treatments.
Initially, you should monitor epithelial ingrowth clinically. If the cells proliferate they can eventually progress to the visual axis, induce topographical and refractive change, disrupt the flap edge or cause corneal melt. Any one of these changes would warrant removal of the epithelial ingrowth, which is accomplished by lifting the flap and scraping away the epithelial cells on the bed and the posterior side of the flap surface. Laser enhancement is almost never performed at the time of the removal because the epithelial cells may be inducing a significant portion of the refractive change. If the amount of ingrowth is small and non-progressive, then surgical intervention need not be taken. However, as was the case with the above example, a contact lens may help correct residual ametropia and irregularity.
REFERENCES
- Mackool RJ, Monsanto VR. Epithelial Ingrowth After LASIK. Journal of Cataract and Refractive Surgery. 202;28(10):1884
- Wang WY, Maloney RK. Epithelial Ingrowth After Laser In Situ Keratomileusis. American Journal of Ophthalmology. 2000;129(6):746-751
- Lumba JD, Hersh PS. Topography changes associated with sublamella epithelial ingrowth after laser in situ keratomileusis. Journal of Cataract and Refractive Surgery. 2000;269:1413-1416
- Waring JO. Epithelial Ingrowth After Laser In Situ Keratomileusis. American Journal of Ophthalmology. 2001;131(3)402
- Domniz Y, Comaish IF, et al. Epithelial ingorwth: Causes, prevention, and treatment in 5 cases. Journal of Cataract and Refractive Surgery. 2001;27:1803-1811


