cultivating compliance
Circinate Keratopathy in a Noncompliant Soft Lens Wearer
BY VISHAKHA THAKRAR, OD, FAAO, & BENNIE H. JENG, MD
Deep stromal vascularization is a rare finding associated with contact lens wear. It typically results from an inflammatory or infectious corneal insult. This case details an unusual presentation of stromal vascularization and lipid keratopathy that resulted from hydrogel lens extended wear.
Noncompliant Extended Wear
A 26-year-old white male was referred to the Cole Eye Institute Corneal Service for acute interstitial keratitis. He complained of a spot on his left cornea for 10 days with no discomfort or vision changes. He had been wearing hydrogel contact lenses for eight years. Recently, he had been sleeping in his lenses and was removing and disposing of them monthly.
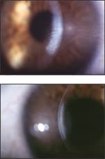
Figure 1. Slit lamp examination OD (top) and OS (bottom) showing deep stromal neovascularization and nasal scarring OU.
Entrance spectacle acuities were OD 20/20, OS 20/200, with pinhole 20/70. Manifest refraction improved vision to 20/40 OS. Slit lamp examination revealed deep stromal neovascularization associated with stromal scarring nasally OU (Figure 1). The leading edge of vascularization demonstrated a circular pattern of lipid deposition. Fundus examination revealed no inflammation.
We diagnosed circinate keratopathy OU and concluded that the condition appeared inflammatory and was associated with contact lens wear. We prescribed topical prednisolone acetate 1% (Pred Forte, Allergan) q.i.d. OU.
On follow up, the patient's vision was correctable to 20/20 in each eye. Slit lamp examination revealed partial regression of the corneal vessels OU. We observed no change with the extent of the lipid deposition or stromal scarring. We tapered the Pred Forte over a five-week period, and the patient continued to improve over the next six months.
Resuming Lens Wear
Once his eyes stabilized, we refit the patient into Night & Day contact lenses (CIBA Vision). Slit lamp examination revealed 5mm of neovascularization nasally OU with signs of regression including ghost vessel formation and looping of vessels back towards the limbus. We asked him to not exceed eight hours of daily wear.
On follow up, entrance visual acuities were 20/20 OU. Slit lamp examination demonstrated no corneal changes. At the three-month follow up, the vessels had completely regressed leaving ghost vessels, lipid deposition and diminished stromal scarring.
Discussion
Circinate keratopathy involves deep stromal vascularization with marked lipid deposition in a ring pattern. It's associated with daily and extended hydrogel lens wear. In this case, the oxygen deprivation and resultant edema from sleeping in low-Dk hydrogel lenses likely triggered deep vessel formation. A tight lens may also contribute to this pathology.
This patient presented with a rare form of stromal vascularization secondary to abuse of hydrogel lenses. The high oxygen permeability of a silicone hydrogel lens enabled his safe return to contact lens wear. CLS
To obtain references for this article, please visit http://www.clspectrum.com/references.asp and click on document #148.
Dr. Thakrar currently practices in a private setting in Toronto and Oakville, Ontario. She is a graduate of The Ohio State University and completed a residency in cornea and contact Lenses at the New England College of Optometry.
Dr. Jeng is an associate staff member of the Cole Eye Institute of the Cleveland Clinic and an assistant professor of ophthalmology at the Cleveland Clinic Lerner College of Medicine of Case Western Reserve University.


