SCLERAL LENS APPLICATIONS
Scleral Lens Applications: A Case Series
Scleral contact lenses are sometimes the only option for irregular or diseased corneas.
By Ann Laurenzi, OD
![]() Dr. Laurenzi practices at the Cole Eye Institute in Cleveland, Ohio where she specializes in refractive surgery co-management, contact lenses and clinical research. |
In specialty contact lens fitting, you see a vast amount of pathology, post-trauma and post-surgical eyes, and ocular surface diseases that plague patients who are referred to you. You will need to be well versed in the different types of lenses that are available to help such patients.
Large-diameter scleral lenses are one design that has been gaining interest among practitioners. Scleral lenses can restore vision and provide therapeutic benefits to many different types of patients, ranging from those who have irregularly shaped corneas to those with ocular surface diseases. Indications for fitting scleral lenses include keratoconus, pellucid marginal degeneration, post-trauma and post-surgical corneas, severe dry eye, Sjögren's syndrome, Stevens-Johnson syndrome, severe atopic disease and/or limbal stem cell deficiency.
Patients who have severely distorted and irregularly shaped corneas can gain visual rehabilitation with scleral lenses when corneal lenses are not indicated or successful. Patients who have diseased eyes can attain therapeutic benefits from scleral fits because the large diameter creates a protective barrier between the environment and the compromised ocular surface.
Common scleral lens diameters range from 15.0mm to 24.0mm. Scleral lenses completely vault the cornea, with the weight-bearing portion of the lens resting on the sclera and an aqueous fluid reservoir maintained between the posterior part of the lens surface and the anterior corneal surface at all times. This provides constant hydration to the superficial ocular surface. Recent scleral lens manufacturing now allows lenses to be made from high- or hyper-Dk materials, which is important because the majority of oxygen supplied to the cornea results from diffusion through the high-Dk matrix of the lens materials rather than through tear exchange.
The following cases illustrate different benefits of and opportunities for fitting scleral contact lenses.
Case One: Keratoconus
A 31-year-old police officer presented with a history of keratoconus. The patient was referred to the clinic for fitting of the left eye following Intacs (Addition Technology, Inc.) removal and subsequent deep anterior lamellar keratoplasty (DALK). The Intacs corneal ring was removed from the eye after placement because it moved the stromal scarring directly into the visual axis with concurrent visual degradation post-implantation. Following the procedures, the patient was limited to desk responsibilities until he could pass a vision evaluation.
The patient's post-surgical manifest refraction was –3.00 +5.00 ×107 VA 20/25 and his graft diameter was 9.0mm.
Topography showed asymmetric astigmatism with an extremely flat periphery in the nasal quadrant (Figure 1). The periphery made centering a corneal lens very difficult, and due to the nature of the patient's profession he could not tolerate lens dislodgement or loss while on duty. A scleral lens was a natural choice. The lens would center without dislodging and the rigid materal would provide superior vision. Manufacturing the lenses in a high-Dk material would reduce the risk of hypoxic conditions.

Figure 1. Topography map OS of patient in Case 1.
We performed the diagnostic fitting with a 46.00D base curve radius (BCR), 15.0mm overall diameter (OAD) lens, which exhibited a large amount of central pooling and midperipheral touch. This indicated that the lens was too steep in radius and/or that the OAD was too small.
We ordered a Jupiter Lens (Medlens Innovations, Inc., manufactured by Essilor Labs of America, Inc.) for this patient in the following parameters:
- BCR 7.50mm
- Power –2.00D
- OAD 16.2mm; optical zone diameter (OZD) 8.00mm
- Peripheral curve (PC)1 7.87mm, 2.1mm width
- PC2 8.70mm, 0.90mm width
- PC3 12.75mm, 0.65mm width
- PC4 14.25mm, 0.40mm width
This lens resulted in a visual acuity (VA) of 20/40, which improved to 20/20 with a –1.50D over-refraction.
Central fluorescein pooling and heavy midperipheral touch gave evidence that the lens was still too steep centrally. The central portion of the lens needed to be reduced while vaulting over the midperiphery to allow the weight-bearing portion of the lens to rest on the sclera.
We reduced the optical zone (OZ) and steepened the curve outside of the OZ in the second lens ordered for the patient to better contour the grafted cornea and relieve the midperipheral touch.
We again ordered a Jupiter Lens in the following parameters:
- BCR 7.67mm
- Power –3.00D
- OAD 16.2mm; OZD 7.80mm
- PC1 6.40mm, 0.7mm width
- PC2 7.87mm, 0.9mm width
- PC3 8.70mm, 1.60mm width
- PC4 12.75mm, 0.60mm width
- PC5 14.25mm, 0.40mm width
The patient achieved 20/20 vision and is able to wear the lens 12-to-14 hours without fear of dislodgement. The superior visual acuity allowed the patient to pass all tests and return to active duty.
Case 2: Limbal Stem Cell Deficiency
This patient presented with idiopathic limbal stem cell deficiency (LSCD), in which the cornea is continuously renewed by the cells which reside in the limbus. Loss or hypofunctioning of the limbal stem cells can result from Stevens-Johnson syndrome, ocular cicatrizing pemphigoid, multiple surgeries, neurotrophic keratitis, chronic limbitis and chemical or thermal burn wounds.
The disease manifests itself as epithelial defects, chronic inflammation, keratitis, vascularization and fibrosis, ultimately resulting in corneal blindness. Ocular surface changes in LSCD caused by chemical injury include a histologic study of excised pannus from recipients of cultured corneal epithelium.
Our patient was a 44-year-old female who complained of gradually worsening foggy vision for two months. The vision was worse out of the right eye versus the left eye. She had a 20-year history of soft contact lens wear and for the past five years has been wearing GP lenses.
Manifest refraction was OD –7.00 +4.00 ×073 20/400, OS –5.50 +3.75 ×104 20/25. The patient's slit lamp examination revealed pannus 360 degrees OD and OS as well as diffuse epithelial staining, surface irregularity, peripheral epithelial opacification and superior corneal thinning. Only a small central clear corneal area remained in the right eye, and the thinning created irregular astigmatism. A diagnosis of idiopathic LSCD was made, although it was also proposed that her condition could have resulted from long-term contact lens wear. The patient was referred for a scleral contact lens fitting to protect the fragile cells of the corneal/limbal surface junction and to restore vision.
After obtaining corneal topography images, we fit the patient with scleral lenses. When diagnostically fitting scleral lenses, you typically want to select an initial lens with a base curve radius 1.00D steeper than steep K. Observe the lens-to-cornea fitting relationship and make changes to the lens until it completely vaults the cornea and limbal surface, with the lens peripheral curve radii resting on the sclera.
The Sim Ks for our patient were 48.75 @ 90/48.12 @ 180 OD and 47.00 @ 100/43.25 @ 010 OS. The horizontal visible iris diameter (HVID) was 12.00mm. We selected an OAD of 18.2mm to maintain an aqueous reservoir and vault the diseased limbal area.
We ordered scleral lenses for this patient manufactured by Medlens Innovations in the following parameters:
- BCR 6.75mm
- OAD 18.2mm; OZD 8.20mm
- PC1 6.89mm, 2.00mm width
- PC2 9.00mm, 1.00mm width
- PC3 12.25mm, 1.50mm width
- PC4 14.50mm, 0.50mm width
The right contact lens had a power of –10.00D, which resulted in 20/25 VA. The left lens had a power of –6.00D to provide a monovision result.
At the one-month follow up, the lenses were showing heavy deposits and surface dryness. We reordered the lenses in the same parameters and powers but with a plasma treatment, which greatly improved surface wetting. The patient's LSCD stabilized and she has successfully worn the lenses for two years.
Case 3: Post-Trauma
A 48-year-old male had a history of multiple penetrating keratoplasties and limbal stem cell deficiency (LSCD) secondary to an alkaline burn in the right eye. He has persistent epithelial defects due to a neurotrophic ulcer within the graft. The patient underwent an amniotic membrane graft and tarsorrhaphy (3m) and was referred for a scleral lens fitting.
The first diagnostic lens had the following lens parameters:
- BCR 7.71mm
- Power –3.62D
- OAD 18.2mm; OZD 8.20mm
- PC1 7.60mm, 2.2mm width
- PC2 8.70mm, 1.0mm width
- PC3 12.25mm, 1.3mm width
- PC4 14.50mm, 0.5mm width
This lens resulted in excessive bearing in the limbal area inferiorly and superiorly.
The second diagnostic lens, manufactured by Medlens Innovations, had a flatter base curve radius in combination with a reverse curve to minimize bearing zones (Figure 2). Parameters were as follows:
- BCR 8.08mm
- Power –1.75D
- OAD 18.2mm; OZD 8.40mm
- PC1 7.28mm, 2.2mm width
- PC2 8.70mm, 1.0mm width
- PC3 12.25mm, 1.2mm width
- PC4 14.5mm, 0.5mm width

Figure 2. The patient in Case 3 with a more alignment fitting relationship resulting from a flatter base curve radius and a steeper secondary (reverse) curve.
The goals when fitting a patient who has LSCD are to protect the cornea/limbus junction and to provide constant hydration to the fragile cells. The scleral lens should completely vault the limbal area as demonstrated by moderate fluorescein pooling at the limbus. An OAD of 18.0mm or larger is usually a good starting point to achieve this fitting relationship.
Another way to monitor vaulting in a scleral lens patient is with an OCT anterior segment view, which allows you to view the fitting relationship on the eye centrally and in the limbal area (Figure 3).

Figure 3. An example of using OCT to monitor apical clearance with scleral lens fitting.
Case 4: Protruding Graft
A 59-year-old high school guidance counselor was referred to my clinic for a contact lens fitting. This patient underwent corneal transplants in both eyes (1981 OD and 1982 OS) secondary to keratoconus.
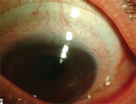
The referring doctor's referral letter stated: "…all contact lenses extrude spontaneously and frequently secondary to the steepness of the cornea." The patient was extremely frustrated with the constant loss of lenses. The patient also experienced extreme dryness from exposure, as the blink does not fully cover the protruding graft of the right eye (Figure 4).

Figure 4. Protruding graph of the patient in Case 4.
Our scleral lens fitting goals for this patient were to achieve a stable fit on the severely steepened and distorted cornea, to offer possible visual rehabilitation and to reduce the dry eye symptoms from exposure due to incomplete blinks.
We ordered a scleral lens from Medlens Innovations in the following parameters:
- BCR 6.25mm
- Power –17.00D, VA 20/20
- OAD 18.2mm; OZD 8.0mm
- PC1 5.60mm, 0.80mm width
- PC2 7.73mm, 2.05mm width
- PC3 8.40mm, 1.0mm width
- PC4 13.50mm, 0.65mm width
- PC5 15.0mm, 0.60mm width
We flattened the peripheral curves of the lens several times before the fit was finalized (Figure 5). The peripheral curves should just rest on the scleral conjunctiva without impingement. The scleral lens was able to vault the protruding cornea, while offering the patient good vision, stability and relief from dryness due to exposure.

Figure 5. An optimum scleral lens fit on a protruding graft.
If the peripheral curves are too tight, blood flow will be cut off or reduced, causing a cascade of adverse events. Even minimal reductions in blood flow from tight curves can result in signs of inflammation and corneal desiccation. Monitor this by observing the lens in white ligh behind the slit lamp. Visually follow a blood vessel starting from outside of the lens diameter to the limbal area under the lens. If there is impingement, you'll observe a blanching of the blood vessel as it progresses under the contact lens.
Reductions in blood flow under the lens can be very subtle and you may not always see complete blanching of the blood vessels (Figure 6). Another sign that the blood flow may be reduced manifests as heavy conjunctival flushing with lens removal. Patients may state that their eye turns very red after the lens is taken out and that they feel a persistent foreign body sensation. An obvious sign that the lens peripheral curves are too tight occurs when the lens suctions to the scleral conjunctiva and breaking the seal of the lens and conjunctiva is difficult. You should observe the peripheral curves after several hours of lens wear because the fit can tighten as fluid is exchanged under the lens.

Figure 6. Blanching of the blood vessels superiorly in a tight-fitting lens.
Summary
Scleral lenses have numerous applications in today's contact lens practice. As demonstrated in these cases, they provide good vision, comfort and eye protection for patients who may not have any other viable option that could provide these benefits. CLS