Online Photo Diagnosis
By Gregory W. DeNaeyer, OD, FAAO
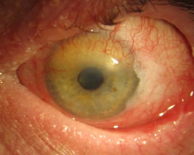
Figure 1 shows the right eye of a 54-year-old man with Stevens-Johnson syndrome (see Figure 2 for the left eye). His symptoms started at age 10. His best-corrected visual acuity is count fingers for the right eye and 20/40 for the left eye. He currently uses combination tobramycin and dexamethasone (Tobradex, Alcon Laboratories Inc.) twice per week in both eyes, ciprofloxacin (Ciloxan, Alcon Laboratories Inc.) twice per week in both eyes, loteprednol (Lotemax, Bausch + Lomb) every day in both eyes, and Refresh Tears (Allergan Inc.) in both eyes as needed. The patient has had surgeries to correct symblepharon and trichiasis. He has successfully worn scleral contact lenses for 5 years.
Figure 1
Figure 2
Stevens-Johnson syndrome is a rare adverse reaction, usually to medication, affecting the skin and mucous membranes. Although any drug may precipitate this adverse drug reaction; anticonvulsants, antibiotics and NSAIDs have been commonly implicated. Ocular complications include: symblepharon, limbal stem cell deficiency, trichiasis, persistent epithelial defect, corneal scarring and leukoplakia. Management often is palliative care, using ophthalmic lubricants and steroids. A scleral contact lens can improve comfort and vision by providing surface protection and continually bathing the ocular surface in a fluid reservoir. In some severe cases, an amniotic membrane graft or a limbal stem cell transplant may benefit the patient.
This patient wears his scleral lenses on a daily wear basis. He cleans them daily with Optimum Extra Strength Cleaner (Lobob) and disinfects them with a hydrogen peroxide care system. He fills the lenses with nonpreserved saline before application.
Scleral contact lenses can be a beneficial management tool when treating patients with ocular manifestations of Stevens-Johnson syndrome.
Resources
Stevens-Johnson Syndrome Foundation-Facts sheet. http://www.sjsupport.org/fact.shtml
Gregory, DG. The Ophthalmic Management of Acute Stevens-Johnson Syndrome. The Ocular Surface. 2008;6:87-95.


