July 2012 Online Photo Diagnosis
By Gregory W. DeNaeyer, OD, FAAO
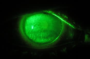
Figure 1 shows the right of eye of a 62 year-old male who has ocular graft versus host disease (GVHD) that developed after successful treatment of myelodisplastic syndrome. He suffers from severe keratoconjunctivitis sicca (figure 2).
GVHD is a consequence of donor immune cells attacking the recipient following allogeneic bone marrow transplant or cord blood transplantation. 60% of patients have ocular involvement resulting in keratoconjunctivitis sicca1. Patients with ocular GVHD have debilitating dryness that is refectory to aggressive dry eye therapy. Bandage contact lenses offer protection for the compromised ocular surface. Scleral lenses are often utilized for managing patients with ocular GVHD. The reservoir that scleral lenses hold helps to continuously bathe the anterior ocular surface acting like a liquid band aid. A 2008 paper by Schornack et al. reported on a retrospective case series of 5 patients (10 eyes) with ocular GVHD that had subjective improvements in comfort with scleral lenses after conventional therapy had failed2. Soft bandage contact lenses may also effectively manage ocular GVHD. Russo et al. showed in a 2007 study that ocular GVHD patients showed significant improvement in subjective dryness and visual acuity wearing Ciba Vision N&D soft lenses on a seven-night continuous wear basis3.
The featured patient successfully wears scleral contact lenses. He uses non-preserved artificial tears as needed.
References:
-
Franklin, RM. Kenyon, KR. Tutschka, PJ. et al. Ocular manifestations of graft-vs-host disease. Ophthalmology. 1993 Jan;90(1):4-13.
-
Schornack, MM. Baratz, KH. Patel, SV. Maquire, LJ. Jupiter scleral lenses in the management of chronic graft versus host disease. Eye Contact Lens 2008 Nov;34(6):302-5.
-
Russo, PA. Bouchard, CS. Galasso, JM. Extended-wear silicone hydrogel soft contact lenses in the management of moderate to severe dry eye signs and symptoms secondary to graft-versus-host disease. Eye Contact Lens 2007;33(3):144-147.


