January 2016 Online Photo Diagnosis
By Gregory W. DeNaeyer, OD, FAAO
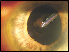
This photo shows the left eye of a 79-year-old patient who has iridocorneal endothelial syndrome (ICE). She presented with corneal edema, dense endothelial pigmentation, broad areas of inferior peripheral anterior synechiae (PAS), and anterior chamber tube shunt. Her uncorrected visual acuity was OS 20/250, pinhole 20/150. Intraocular pressure (IOP) measured 11mmHg. She was taking Pred Forte (Allergan) 1% q.d. and ketorolac q.d., both OS.
ICE is a mesodermal dysgenesis syndrome with a unilateral presentation that presents in adolescence1. The inheritance pattern is variable, and signs include corneal endothelial changes, corneal edema, iris alterations, PAS, and increased IOP.1,2 Differential diagnoses include Axenfeld-Rieger syndrome, posterior polymorphous dystrophy, Fuchs’ endothelial dystrophy, and iris melanoma.2
This patient had adequate IOP control secondary to the shunt. The corneal specialist treated the patient’s corneal edema with Muro 128 solution (Bausch + Lomb) q.i.d. OS. The corneal edema was significantly less at a two-month follow-up visit.


