With the advent of new research in keratoconus and new technology in diagnostics and contact lenses, our knowledge of how to treat keratoconus has blossomed. It is no longer sufficient to use only corneal rigid GP lenses. Now, we have a continuum of care in which custom soft toric lenses, corneal GP lenses, piggyback lens systems, hybrid lenses, and scleral lenses all have their places. Each of these strategies aims to prevent mechanical trauma to the apex of the cone while at the same time optimizing vision.
Perhaps the most misunderstood type of lens from that list are hybrid lenses. Hybrids do not function like corneal GP lenses, nor do they function like soft lenses. They have their own intricacies that, when well understood, can be wonderfully life-changing for patients and easy to troubleshoot for practitioners. But, if you read any eye-care blog that touches on the subject of hybrids, you will invariably read comments from practitioners who either do not have the experience or have not invested the time and effort into understanding how to make hybrids perform. The authors of this article would like to present another side of the story, offering clinical pearls and a successful fitting approach that we have coined. We will share with you the “black belt” techniques that we have developed to drive success with your hybrid patients.
But hybrids are not only used for the treatment of keratoconus and irregular astigmatism. They are successful for the much larger markets of astigmats and astigmatic presbyopes. In fact, soft toric lens wearers often complain about variable vision that results from problems with lens stability. In a survey of 400 soft toric lens wearers, 82% complained about blurry and hazy vision, fluctuation, unstable and shifting vision, and rotating lenses.1 Presenting hybrid lenses to the patients who complain about these problems shows them that their eyecare practitioner is looking out for their best interest, is a problem solver, and is on top of the latest technologies. Switching patients to the latest technology lenses gives them a reason to continue to return to our offices for annual eye care. And, in the current climate of disruptors attempting to drive a wedge between patients and their eyecare practitioners, it is especially important to be vigilant and to listen to our patients’ every concern.
HYBRID LENSES FOR NORMAL CORNEAS
The history of hybrid lenses has been somewhat rocky. Multiple manufacturers had produced early design lenses that separated at the junction of hard and soft lens, suctioned down onto the ocular surface, were manufactured in low-oxygen-permeable (Dk) materials, and had a host of other problems (Figure 1).2-4 With the most recent generation of hybrid lenses, most, if not all, of those problems are eliminated when the lenses are properly fit. The most recent version has a silicone hydrogel skirt that is covalently bonded with the GP portion of the lens, demonstrates tear exchange under the lens (Figure 2), and has a Dk of 130 in the GP portion and 84 in the skirt.


Other notable enhancements in the most recent generation of hybrids include a GP portion with a lower wetting angle (34º) and ultraviolet (UV) blocking (82% UVA, 96.7% UVB). Additional enhancements of the silicone hydrogel skirt include a lower wetting angle (25º to 30º), a lower modulus (0.5MPa to 0.8MPa), and increased water content (32%). These properties have combined to produce a lens for normal astigmatic and astigmatic presbyopic patients that is more comfortable, breathable, wettable, and easier to remove compared to previous generations.
The fitting philosophy and process for these lenses has also been simplified. It is no longer necessary to use high-molecular-weight sodium fluorescein (NaFl), or any fluorescein for that matter, to evaluate hybrid lenses. The lenses are evaluated based on centration and movement. The hybrid lens for normal corneas is designed empirically using keratometry, subjective refraction, and horizontal visible iris diameter (HVID). Many practitioners find manual keratometry to be superior to topographically generated Sim Ks due to the ease and speed of taking the measurements, lower cost, and minimum maintenance. As for measurement of the astigmatism, no difference was found between corneal topography and keratometry.5
A very convenient method for designing lenses is the online calculator: DuetteCalculator.com. The aforementioned variables are input, and lens parameters are generated instantaneously. The algorithm used in the calculator is based on a flat keratometry +0.50D fitting philosophy of the GP lens. This suffices for mild amounts of corneal astigmatism. However, when the corneal astigmatism is above 1.50D, a more successful strategy for calculating the GP-portion base curve is the mid-K fitting philosophy. Advanced practitioners will calculate these parameters on their own.
The most important requirement for all hybrid lens fittings is making sure that the lens rides on a layer of tears to avoid any seal off by the soft skirt. Tight lens syndrome is a result of tears stagnating under the hybrid lens, causing a metabolic sewer and a consequent toxic reaction upon the cornea. Using the same fitting philosophy as for the mild form of astigmatism, selecting the flattest skirt that does not gap will prevent tight lens syndrome (Figures 3 and 4). The rigid portion is fit with an equal amount of space and compression in opposite meridians. This allows the rigid portion to rock back and forth to aid in the pumping of tears under the contact lens, allowing the lens to ride on a layer of tears.


Discomfort or irritation arises from the lens rubbing upon the cornea. Fitting the hybrid lens using a simulated toric fitting philosophy assures that the cornea is protected by tears.
Fitting pearl The vast majority of successful fits in the single vision lens use the “flat” (8.4mm) skirt curve. This is the best starting point when ordering lenses for the first time. The other skirt curves (medium 8.1mm, steep 7.9mm, and flat2 8.7mm) are used to troubleshoot.
Another breakthrough in the newest generation of hybrids for both normal and irregular corneas is the ability to add a 90% water polyethylene glycol (PEG)-based polymer mixture that is bound to the front and back surface. This coating further improves wettability and surface water retention. It is resistant to protein and lipid deposition and increases pre-lens tear breakup time.
Removal Pearl To remove lenses with a surface coating, the fingers must be positioned together in the shape of “duck lips” (Figure 5). If this technique fails, a surefire way to remove lenses is by gripping them with a tissue and using the same technique. The dry surface of the tissue will dislodge the lens immediately.

TROUBLESHOOTING
Variable or fluctuating vision on the blink with a hybrid for normal corneas is often a sign of lens flexure. This is especially frequent in eyes that have high with-the-rule corneal astigmatism, a standard reason to use a hybrid in the first place. The solution for this problem is to order the lens with an Enhanced Profile (EP) design, synonymous with a thicker midperipheral zone. The increased thickness resists flexure and stabilizes the vision on the blink.
New-generation lenses should be perfectly comfortable upon application. Poor comfort on application will result with even the smallest air bubble trapped at the junction between hard and soft lens (Figure 6). Air trapped at the junction is always an application error and is not reflective of the fit of the lens. Simply have the patient remove the lens, apply a drop of artificial tear inside the lens, lean over the lens, and reapply.

Practitioners can determine whether a comfort problem is related to the skirt curve by simply observing a patient upon entering the room. If the technician and patient work together to apply the lens, but the patient is wincing in discomfort, having difficulty keeping the eyes open, and blinking rapidly when the practitioner enters the room, the skirt curve is too flat. Steepening the skirt curve one step (e.g., from flat to medium) will often solve a comfort problem.
Another “observe from across the room” troubleshooting technique occurs when a patient who is wearing a multifocal hybrid complains of poor distance and near vision. This is nearly always a result of lens decentration. When observing the lens under biomicroscopy, the decentration may be subtle, especially when observing temporal decentration (Figure 7). Fixing this problem depends on observing the orientation of the decentration. When the decentration is slight and temporal, steepening the skirt curve one step works well. If the decentration is severe, inferior, superior, or superotemporal, it is often better to steepen the base curve of the GP portion of the lens.

Clinical Pearl When ordering our first multifocal hybrid for patients, our standard skirt curve is medium. We have found that the medium skirt curve turns out to be more successful overall for multifocal hybrid lenses. If we need to loosen the fit, we will revert to a flat skirt curve, but with multifocals, the most critical factor is often centration and optics.
An advanced troubleshooting technique with multifocal hybrids when either distance or near vision is suboptimal is to manipulate the zone size of the near-centered optics. A standard multifocal hybrid (latest generation) has a 3.0mm multifocal zone. Changing the zone size to 2.8mm in the case of poor distance vision, or to 3.2mm in the case of poor near vision (much less frequently encountered), is a successful means of maximizing vision at all distances.
HYBRID LENSES FOR IRREGULAR CORNEAS
Why fit hybrids when scleral lenses appear to be the focus of most of the continuing education lectures in contact lenses today? There are multiple reasons:
- Continuum of Care All diseases have stages of severity, and keratoconus is no different. The most widely accepted classification system for keratoconus is the Amsler-Krumeich grading system.6 It classifies keratoconus into four stages based on keratometry, myopic power, pachymetry, and presence of scarring. With multiple lens modalities available to treat irregular astigmatism in keratoconus, it makes sense to use a wide array of options to treat our patients. Options include glasses, soft toric lenses, custom soft toric lenses, corneal GPs, hybrids, and scleral lenses.
- Ease of Fit When properly understood, irregular cornea hybrid lenses can be easier to fit. A successful fit can be achieved in two to three visits on average. This saves patients time, expense, and aggravation when compared to a scleral lens; when practitioners fit scleral lenses properly and with the requisite precision, even in the best hands, more visits are often required.7
- Audit Protection If you are billing medical or vision insurances for your advanced contact lens evaluations and fitting all of your patients in scleral lenses, this raises red flags with insurance providers.
Hybrid lenses for irregular corneas are designated in levels of vault rather than in base curves. Far and away, the most successful vault of irregular cornea hybrid lenses is the 250μ vault (more than 80% of lenses ordered with a completion pair, according to SynergEyes data). This makes the fitting of the lens fairly simple. Apply the 250μ vault lens, and evaluate to see whether a change is needed. If using anterior segment optical coherence tomography (OCT) to evaluate the fit, you are looking for 100μ of vault over the apex of the cone. Even with significant settling over the course of a day, the back surface of the lens should not contact the apex of the cone.
If vault is excessive, the lens will be tight and will crash onto the cornea, bending the midperiphery where the weight of the lens is borne against the cornea. If vault is insufficient, the lens will be uncomfortable as there will be mechanical irritation of the apex of the cone. If you are using NaFl for evaluation, the density of the pooling (or lack thereof) will indicate the vault over the apex of the cone.
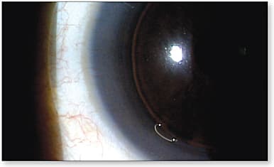
Vaults of 300μ or greater are actually a different lens design than are vaults of 250μ and below. With a 300μ vault, the reverse (or lift) curve (that is fixed in the 250μ vault and below) becomes variable based on greater vault. The variable lift curve is prone to crashing and indenting the cornea in eyes that have low hysteresis (Figure 8). This introduces some inconsistency in success rates of the higher vault lenses. If you see indentation of the cornea at the lift curve, it is best to change lens designs to a scleral lens.

THE BOTTOM LINE
Hybrid lenses are a practice differentiator that complement a contact lens practice in many ways. Lenses for regular corneas offer your patients an option that many practitioners fail to mention. Significant numbers of patients intrinsically understand the benefits of hybrid lenses and, when offered, many jump at the opportunity to try them. The eyecare practitioners who provide an alternative to soft toric lenses are rewarded with patient loyalty. In the irregular cornea arena, hybrids have a place in the tool chest of options. Similarly, the practitioners who offer a wide array of choices for the continuum of care for keratoconus are solving problems for their patients, not simply fitting lenses. CLS
REFERENCES
- Lee R, Noorany H, Sonsino J. The Toric Soft Lens Experience: Facts Revealed. Poster presentation at the Global Specialty Lens Symposium, Las Vegas. 2016 Jan.
- Rubinstein MP, Sud S. The use of hybrid lenses in management of the irregular cornea. Cont Lens Anterior Eye. 1999;22(3):87-90.
- Abdalla YF, Elsahn AF, Hammersmith KM, Cohen EJ. SynergEyes lenses for keratoconus. Cornea. 2010 Jan;29:5-8.
- Pilskalns B, Fink BA, Hill RM. Oxygen demands with hybrid contact lenses. Optom Vis Sci. 2007 Apr;84:334-342.
- Zhang K, Li Z, Lu W, Xing R. Measurement of corneal astigmatism. Science Bulletin. 1998 July;43:1124-1128.
- Amsler M. Kératocõne classique et kératocône fruste; arguments unitaires. Ophthalmologica. 1946 Feb-Mar;111:96-101.
- Pecego M, Barnett M, Mannis MJ, Durbin-Johnson B. Jupiter Scleral Lenses: the UC Davis Eye Center experience. Eye Contact Lens. 2012 May;38:179-182.