In some cases of ocular trauma, surgical complication, or disease, the crystalline lens is removed and an intraocular lens implant is not an option. When choosing a contact lens design for refractive correction of aphakia, patient variables to consider include astigmatism, corneal irregularity, corneal transplant, pupil irregularity and function, and previous contact lens history. Additionally, the increased lens thickness and mass of high-plus-power aphakic contact lenses influence material and design selection.
Case 1
A 30-year-old male sustained an injury to his left eye in which a wire punctured and lacerated his cornea. Emergency surgery left him with a corneal scar, mild pupil irregularity, and aphakia.
The patient’s left eye was originally fit with a daily wear hydrogel soft contact lens with an 8.3mm base curve and +13.50D power, 20/20, that he replaced quarterly. Six years later, he was refit into a lathe-cut, silicone hydrogel lens replaced quarterly to improve oxygen transmissibility to resolve symptoms of redness and irritation with full-time daily wear.
Recently, he was successfully refit into monthly replacement, made-to-order silicone hydrogel contact lenses, which are more convenient and ensure a cleaner lens surface because of the more frequent replacement.
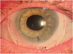
Case 2
A 51-year-old male who had a history of retinal detachment and cataract surgery OS was left aphakic after removal of his intraocular lens secondary to chronic uveitis and cystoid macular edema, resulting from lens dislocation. Manifest refraction OS was +10.00 –1.75 x 060. We decided to fit the patient’s left eye with a scleral lens. The plan was to over-correct his left eye so that he could wear glasses with progressive addition power for presbyopia, without anisometropia.
A 16.7mm scleral lens with a power of +18.26D was successfully fit (Figure 1); with an over-refraction of –6.75D, his acuity was 20/50. The scleral lens was manufactured in a hyper-permeable material with a Dk of 180. He has experienced no hypoxia-related complications for two years.
Case 3
A 54-year-old monocular patient who had aphakia OS reported with corneal GP lens fit issues. His current contact lens was inferiorly decentered and was binding to his cornea without movement (Figures 2 and 3).
A lathe-cut silicone hydrogel lens failed due to poor vision. Another attempt with a corneal GP was unsuccessful because of poor fit. The patient was successfully refit into a 15.8mm scleral lens, +15.75D power, 20/30, manufactured in a hyper-Dk material. He continues to be satisfied with the comfort and vision. CLS


