Scleral Lens Fitting on Mild Keratoconus and Pinguecula
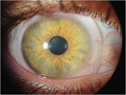
This patient is 30 years old but was diagnosed with keratoconus at 17. With scleral lens wear he presented with severe, localized red eye and a burning sensation after two to three hours of wear (Figure 1).
Biomicroscopy and Anterior Segment Tomography
A corneal biomicroscopy evaluation shows a clear cornea with no scars or opacities and a slight thinner corneal thickness at the center (Figure 2). There was a visible pinguecula that probably provoked more localized severe hyperemia OD when the patient was wearing scleral lens. Corneal topography showed a similar condition in both eyes (Figure 3).
Although the patient had nasal and temporal hyperemia in both eyes when wearing scleral lenses, only OD presented a visible pinguecula (Figure 4). During initial scleral lens evaluation, there was a difference at the surrounding sclera with a flatter pattern at the nasal and temporal positions.
Specialty Scleral Lens Fit
Initial Scleral Lens Evaluation
Despite the topographical anterior sagittal curve map, when we observed the cornea at the slit lamp cross-section view, we saw a relative regular pattern. A 16mm single base curve (BC) scleral lens was tested due to the presence of the visible pinguecula OD.
The test went well and, after two hours of wear, the patient was examined without the lens on his eye. Figure 6 shows localized areas of conjunctival hyperemia temporally from 7 o’clock to 11 o’clock and nasally from 3 o’clock to 5 o’clock positions; this indicated that there was also a flatter scleral pattern horizontally.1 There was no severe impingement or blanching at the haptic landing zone.
The parameters of scleral lens design that we fit were: OD BC 45.00D (7.50mm), power –5.00D, overall diameter (OAD) 15.8mm, optical zone diameter (OZD) 13.2mm, sag 4.767 microns, and Dk of 125. When we ordered the lens, we included a notation that the lens should have a temporal and nasal elevation to better accommodate the haptic temporally and partially overcome the nasal pinguecula.
The scleral lens design used already has a flatter haptic meridian to better accommodate the landing zone in normal eyes, as most eyes have a flatter surrounding sclera at the horizontal line of the anterior eye. In this case, the elevation of these areas was a little higher and there was also the nasal pinguecula that added another complication. The options were to partially vault the obstacle or to add a notch that avoided the tissue.2
The lens diameter was reduced from the initial trial lens of 16.0mm to 15.8mm and a posterior elevation to the haptic was created to avoid an insult at the pinguecula3 (Figures 7 and 8). The elevation spline curve was increased at the area identified and a 12 o’clock dot for reference.
When modifying specific areas flattening the haptic spline curve, the lens better settles on the eye; this will reduce the overall sag value depending on the amount of flattening or steepening as well as the size of the modification. With this in mind, it is important to consider increasing the sag, if it is necessary to avoid too close of a vault over the cornea.
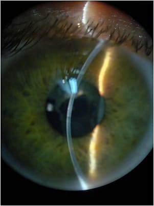
Figure 10 shows the final fit with an optimal result. The patient’s visual acuity was 20/15 OD, and the resulting vault was enough to ensure there was a corneal and limbal clearance.
Conclusion
Scleral lens technology has evolved in many ways during the last decade, and today’s technology may produce precise measurements of the surrounding sclera and some labs are able to reproduce the modifications required to achieve an optimal fit. However, most practitioners still depend on trials and observations to fit scleral lenses. In this case, it is of some importance to carefully observe the fit and estimate the necessary changes to a better fit. The communication with the lab is also of utmost importance as well.
We have succeeded in many complex cases that required us to overcome or avoid an obstacle. It is challenging, but it is possible most of times to succeed and achieve the expected results.
References
- Fadel D. Scleral Lens Issues and Complications. Dougmar Publishing Group. 2020:126-129.
- Jediicka J. Overcoming Obstacles to Achieve a Great Scleral Lens Fit. Contact Lens Spectrum. 2017 Oct;32 (Suppl):16, 17, 20-22, 34.
- Bastos L, Bittencourt M. Customized Scleral Lens Fit in a Case of Keratoconus. Contact Lens Spectrum. 2013 Sep28:30-37.


