TWENTY YEARS of scleral lens innovation has dramatically improved fitting success to manage a broad spectrum of anterior ocular surface irregularities and diseases. Despite these improvements, eyecare practitioners and patients are still too frequently plagued by lens-related complications that can disrupt lens performance or decrease wear time. Surface non-wetting is one of the most frustrating of these issues, especially when the standard troubleshooting remedies are unsuccessful. For a patient who requires scleral lenses for visual function, unresolved lens non-wetting can limit activity and worsen quality of life.
PATIENTS AT RISK
Patients who have known ocular surface disease are at the highest risk for exhibiting lens non-wetting. A combination of reduced tear volume and altered chemistry likely prevent normalized wetting of GP materials. Another group of patients who are often affected includes some perimenopausal and postmenopausal females, likely due to hormonal changes that alter the tear film (GP Lens Insitute, 2023).
CASE REPORT
A 56-year-old female keratoconus patient reported for scleral lens evaluation. She presented with a recent history of non-wetting scleral lenses despite trying numerous material changes and the addition of a polyethylene glycol (PEG) lens coating. Slit lamp exam confirmed surface non-wetting and visual acuity measured OD 20/25 and OS 20/70.
The patient was refit into 16.5mm scleral lenses using a relatively lower-Dk material (hofocon A) that was plasma treated. With the new lenses, her visual acuity measured OD 20/25 and OS 20/40 with a perfect wetting surface. The patient was prescribed a hydrogen peroxide solution for nightly cleaning and disinfection.
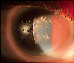
All was well for three months, until she complained of lens fogging. Slit lamp confirmed surface non-wetting OD > OS (Figure 1). As a trial, branded disposable soft lenses were placed on the scleral lens surface during wear to see whether wetting improved. Most of the soft lenses were too flat and decentered and had an unacceptable fit.
Using the sagittal soft lens depth chart (van der Worp et al, 2021), the steepest silicone hydrogel daily disposable lens (base curve 8.3mm, diameter 14.2mm, –0.50D) was applied and successfully centered on the right scleral lens with perfecting wetting (Figure 2). The patient was instructed to start applying the soft lens on top of the right scleral lens daily.
Unfortunately, when she returned for follow-up, she reported that wearing the soft lens piggybacked on the scleral lens was irritating after a few hours, resulting in failure. Knowing that she was able to wet freshly plasma-treated lenses for three months, an additional set of lenses were ordered for her to wear and the first set was sent to the manufacturer for plasma treatment. As a result, now she is able to swap lenses out for plasma retreatment every few months to maintain surface wetting during wear.
CONCLUSION
Some patients have difficulty wetting their lenses despite using relatively lower-Dk materials, plasma treatment, and surface coatings. Alternating between several sets of lenses can help some of these patients. Although, unsuccessful with this patient, adding a soft lens on the surface could also be a remedy. CLS
Reference
- GP Lens Institute. Surface Wettability Problems. 2023. Available at gpli.info/lab-consultant-surface . Accessed April 10, 2023. van der Worp E, Lampa M, Kinoshita B, Fujimoto MJ, Coldrick BJ, Caroline P. Variation in sag values in daily disposable, reusable and toric soft contact lenses. Cont Lens Anterior Eye. 2021 Dec;44:101386.


