WHEN EVALUATING the movement of a hybrid lens on eye, should it be evaluated like a soft lens or for corneal GP-like movements? The answer is neither. Hybrid lenses are unique. Here are some quick tips to assess mobility of your hybrid lens fits.
STRAIGHT AHEAD BLINK VERSUS UP GAZE BLINK
Upon initial application, a hybrid lens may exhibit excessive movement. During these few first few minutes of hybrid lens wear, a patient may blink frequently as the lens settles on eye. Movement is typically assessed from the soft skirt of the hybrid lens.
New lenses fresh out of their vials can have kinks in the skirt that need to be massaged by the lids as a patient blinks to align the lens to the conjunctival/scleral surface. After this early time period, examine the lens in straight-ahead gaze behind the oculars of the slit lamp. Some movement of the lens should be observed with minimal lens awareness reported by patient (Video 1).
If the patient reports no lens awareness with each blink, be on the lookout for a lens that has settled inferiorly on eye with no visible movement. Ask the patient to look up and blink. Some movement of the lens should be observed with a quick return of the lens back to its original position. If there is still no observable movement, proceed with the push-up test.
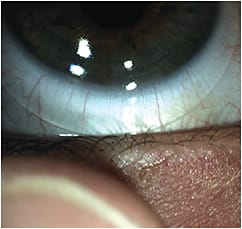
THE PUSH-UP TELLS ALL
A push-up test can be performed in either straight-ahead gaze or up gaze. When adequate movement is observed in a push up of the lower lid against the lens while the patient looks straight, a lens will move from its position but should quickly return without causing discomfort to the patient.
If there is no movement of the lens during a straight-ahead gaze push up, have the patient look up and try using the lower lid to push up again (Figure 1; Video 2). If no movement is observed, a fit modification will need to be done, typically flattening the hybrid lens skirt.
During follow-up visits when the lens is removed and the cornea is stained, carefully inspect for true desiccation of epithelial cells as a sign for inadequate lens movement due to a tight-fitting lens.
DRAG AND RECOIL
The lag of a hybrid lens can be easily observed by having the patient look left and right and focusing on a single blood vessel. You should be able to see movement of the soft skirt drag along the blood vessel with a quick recoil of the lens back into place once the patient resumes straight-ahead gaze is (Figure 2). CLS


