
SCLERAL CONTACT LENSES have become an integral element in the management of irregular corneas and ocular surface disease.1,2 With increasing utilization of these lenses as medical devices for people who have compromised corneas and abnormal tear film composition, lens wear safety must remain a top priority for prescribing providers. Besides fitting custom lenses that allow for improved comfort and vision, scleral lens practitioners must also ensure that their patients comply with proper lens cleaning, care, and replacement protocols.
SCLERAL LENS-RELATED ADVERSE EVENTS
While the incidence of contact lens-related microbial keratitis (MK) in rigid GP, soft daily wear, and soft extended wear has been studied, generally demonstrating higher incidence rates with soft (versus GP) and extended use of contact lenses,3,4 the incidence rate of MK with scleral lens wear is not as clear.
However, single case reports from as early as 2013 and 2014 have described MK in a scleral lens-wearing patient who has Sjögren’s syndrome and ocular cicatricial pemphigoid5 and MK in another scleral lens-wearing patient who has neurotrophic keratitis.6 Additionally, a case series documented three incidents of Acanthamoeba keratitis in keratoconus patients wearing scleral lenses,7 and another case report demonstrated acute red eye (non-ulcerative keratitis) associated with mini-scleral lens wear for keratoconus.8
These scleral lens-related adverse events were attributed to a number of factors, including extended lens wear to facilitate healing of an epithelial defect in an eye with severe ocular surface disease,5 improper storage of the lens in non-preserved saline,6 contaminated contact lens cases and plungers, exposure to swimming pool and shower water,7and improper lens and storage case maintenance.8
Despite these complications, scleral lenses play a crucial role in the management of corneal disorders, ocular surface conditions, and challenging refractive cases,9 and can be utilized with positive outcomes.
SCLERAL LENS GUIDELINES
Although variations in practice exist, there are fundamental guidelines that all scleral lens practitioners and patients should be aware of.
For scleral lens wear:
1. Ensure proper scleral lens fit. Practitioners should evaluate the fit after lens wear to confirm optimal prescription and design. Do not dispense poorly fitting lenses.
2. Delineate appropriate wearing schedule. Instructions should be given on average hours of wear per day. This may vary among patients depending on their ocular health situations.
3. Midday maintenance techniques. Midday lens removal and cleaning might be needed to refresh the fluid reservoir or optimize the surface quality (Figures 1 and 2). Patients should carry a kit that includes all necessary tools for the maintenance process (e.g., lens cleaner, non-preserved saline, plunger, and case).


4. Always wash hands before handling lenses and lens-related tools.
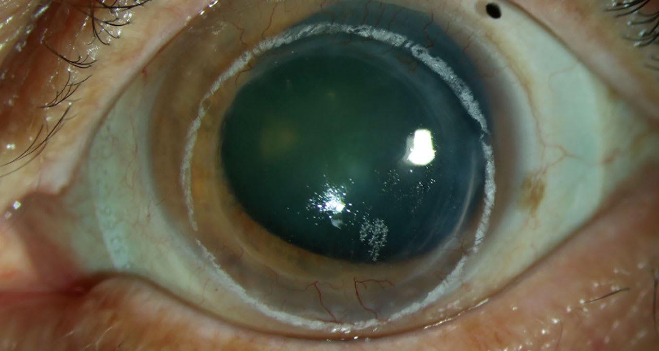
5. Do not sleep or nap in lenses unless instructed by the practitioner for a therapeutic treatment, and then only under close supervision. Sleeping in lenses can lead to inflammation and adverse events (Figure 3) due to decreased oxygen and stagnant tear exchange.

6. Avoid lens wear in the shower, ocean, swimming pool, hot tub, and steam room. Exposure to possible contaminants from these sources may increase the risk for adverse events and infections. If exposure is unavoidable, use airtight goggles to protect the ocular surface. Remove and reclean the lenses as soon as possible after exposure and flush the ocular surface with non-preserved saline prior to reapplication.
7. Proper lens training. Patients need to be adequately trained on lens application and removal before leaving the office with their lenses.
8. Bubble identification. Patients should be able to identify when a bubble is present within the fluid reservoir. Correct reapplication will improve comfort and vision quality.
9. Correct lenses. Provide clarification on identifying right and left contact lenses and proper orientation.
10. Topical eye medications. Instruct patients to remove lenses before instilling medications and to wait 15 minutes before reapplying the lenses.
11. Artificial tears. Discuss approved non-preserved eye drops to be used over the lenses. Thick and oily drops may compromise vision.
12. Scleral lens instruction packet. Consider creating a pamphlet containing all relevant lens information for patients to take home. It is common for patients to get overwhelmed and forget important instructions they were given.
13. Emergency contact information. Patients should be given clear instructions on how to reach the practitioner if they have any complication or adverse eye event; these may include ocular pain, redness, discomfort, or decreased vision.
14. Informed consent and scleral lens agreement. Review lens treatment goals and expectations. Patients need to be aware of risks and possible complications with lens wear. Patients must agree to be compliant with lens wear and return for scheduled office visits.
For scleral lens solutions:
1. Lens cleaner. Patients may use an approved stand-alone cleaner or multipurpose cleaner to rub and disinfect the lens. Stand-alone cleaners (with red caps) should never contact the ocular surface, as they can cause toxicity and discomfort.
2. Lens rinsing solution. Cleaning solution should be rinsed off with saline. Non-preserved saline is preferred. Avoid tap water for rinsing lenses.
3. Lens filling solution. Lenses should only be filled with non-preserved saline or non-preserved artificial tears prior to application.
4. Non-preserved saline. This comes in multidose bottles and single-use vials; it can be used to fill lenses, rinse lenses, and flush the ocular surface during lens wear. Some types are buffered with additives and some are not.
5. Hydrogen peroxide care systems. Three percent hydrogen peroxide has broad antimicrobial activity. Lenses must be soaked for at least six hours within a special case with a catalyst to neutralize the peroxide. Un-neutralized hydrogen peroxide should not touch the ocular surface, as it can cause ocular toxicity and burning.
6. Storage solution. When not in use, lenses must be stored in an approved storage solution or multipurpose solution. New solution should be used every time.
For scleral lens maintenance and care:
1. Cleaning and storage of lenses. Patients must be taught how to clean, disinfect, and store lenses. This includes a digital rub, rinse, and storage in appropriate solution and case. If the lens is not rubbed and rinsed with proper products, deposits may build up on the lens (Figure 4). Additionally, contact lenses can act as a vector for microorganisms to transfer onto the ocular surface, increasing the risk for contact lens-related MK and inflammation in compromised eyes.10

2. Cleaning frequency. Patients must clean and disinfect contact lenses on removal daily, or more often if midday reapplication is required.
3. Morning routine. Lenses should be removed from their case and rinsed with non-preserved saline before application on the eye.
4. Lens cases should be cleaned out and air dried after lenses have been removed. They can be discarded every three to six months, or sooner if soiled or damaged (Figure 5). A heavier microbial bioburden in storage cases is associated with a higher risk of contact lens-related keratitis and infectious keratitis.11

5. Application and removal plungers should be wiped down with alcohol after use and stored in a clean, dry place. They should be discarded every three to six months, or sooner if soiled or damaged.
6. Long-term lens storage. When lenses are not used for more than a few weeks, they can be stored dry. After proper cleaning and rinsing, gently dry with a tissue before storage in a clean, dry case. Be sure to label with lens details.
7. Handouts and resources. Provide a customed packet with lens maintenance and care instructions or refer patients to sclerallens.org or mbfsl.org.
SCLERAL LENS CLEANING AND MAINTENANCE PRODUCTS
By following guidelines that promote the safety and efficacy of scleral lenses, patients are more likely to have positive experiences. However, unexpected discontinuation of products and challenging supply chain issues have complicated matters in the past. In the fall of 2015, a multidose bottled non-preserved saline solution commonly used for scleral lens rinsing and filling was discontinued.
Although it was used off-label for scleral lenses, there were not many other available options. This caused a multitude of scleral lens-wearing patients to panic. Shortly after, another off-label multidose preservative-free saline solution was determined to be comparable and compatible for scleral lens use.
Many pharmaceutical companies eventually determined that there was a need for scleral lens filling solutions, and between 2016 and 2021, several non-preserved saline solutions received approval from the U.S. Food and Drug Administration for scleral lens use.
Similarly, there were not many options for scleral lens cleaning products a decade ago. In July 2019, a product commonly used in the U.S. was discontinued from manufacture. This again left many scleral lens patients confused about what products could be used to safely and effectively clean their lenses.
Today, there are many more options for scleral lens filling solutions, cleaning products, and multipurpose solutions that can be used to both clean and store lenses. It is important that practitioners let their patients know about all available options and where to purchase them (in stores or online) in case one suddenly becomes unavailable.
Regarding non-preserved saline solutions for filling the scleral lens reservoir, there have been some concerns about the hygiene and sterility of using multidose bottles versus single-use vials. In a study that evaluated opened multidose saline bottles from 35 scleral lens-wearing patients,12 the overall frequency of microbial contamination among saline samples was 62.9%. Ultimately, this study suggests that multidose preservative-free saline commonly used to rinse and fill scleral lenses may become contaminated with microorganisms once the bottle has been opened. However, the study did not make any correlations between contaminated solutions and adverse eye events.
While some patients may prefer the smaller, single-use saline vials, some might prefer the larger multidose bottles due to lower costs, ease of forming a steady saline stream for rinsing, less environmental waste from the plastic vials, and less saline waste if the fluid cannot be used in one sitting. If using multidose bottles, patients must be instructed to keep the bottle tip and cap clean. Once opened, the bottle should be discarded after 15 days or sooner if it is known to be contaminated.
Some lenses may also be surface treated to improve surface wettability.13 If so, patients must be instructed on compatible cleaning and soaking products.
SCLERAL LENS REPLACEMENT PERIOD
Scleral lenses do not have a clear replacement period; these lenses typically take more time and skill to design and fit. Some scleral lenses may even incorporate advanced modifications, which may elevate their cost compared to the cost of other lens modalities.
A recent study from a tertiary care hospital in the U.S. evaluated the average scleral lens replacement period for 251 patients with an average age of 57 years (range of 9 to 93 years).14 Among those patients who had irregular corneas and ocular surface disease, the average replacement period was 23.9 ± 14.3 months (range of 5 to 2,617 days). The study did not find any statistically significant correlation between average scleral lens replacement period and sex, diagnosis, prior outside scleral lens treatment, or lens diameter.
While the average lens replacement period in this retrospective study was about two years, the limitations of more frequent replacement were discussed. These included clinical documentation of medical necessity of new lenses, prior authorizations from medical insurance plans, insurance coverage, and overall costs. Regardless of whether a clinic accepts medical insurance, vision insurance, or no insurance at all, patients must be aware of the process to obtain a new lens and how much it may cost in an emergency.
Ultimately, scleral lenses need to be replaced if they no longer provide adequate vision or comfort to the patient, or if they could cause harm to the patient during wear. Not surprisingly, proper patient handling, cleaning, care, and storage of scleral lenses play an important role in lens condition over time.
Scleral lenses that have defective gaps or holes (Figure 6), chips (Figure 7), cracks (Figure 8), or severely crazed or scratched surfaces (Figure 9) should be discarded and replaced as soon as possible. Eye examinations should be conducted to evaluate vision, ocular health, lens condition, and appropriate lens fit approximately every six to 12 months.




Lens care and protocols should be reviewed at each visit to ensure proper hygiene and compliance. If patients are following proper protocols and utilizing appropriate products and tools, it is possible for their scleral lenses to be kept in good condition and used daily for more than 10 years, as demonstrated in Figure 10.

EYE DROP SAFETY AND COMPATIBILITY CONSIDERATIONS
Given that many scleral lens-wearing patients have ocular surface disease and may require the use of artificial tears or rewetting drops during the day, with or without their scleral lenses on, patients need to be aware of which topical drops are appropriate and safe to use. Multidose bottles often contain preservatives to prevent microbial growth in the liquid, and benzalkonium chloride (BAK) is one of the most commonly used preservatives in ophthalmic formulations. While effective against gram-positive and gram-negative bacteria, as well as fungi, BAK has cytotoxic effects on ocular tissue cells; it has been found to contribute to corneal epithelial cell injury, conjunctival goblet cell loss, delayed corneal wound healing, and elevated inflammatory marker concentrations.15
Due to these adverse effects, artificial tears with BAK should be avoided if possible, with or without scleral lenses on. In general, preservative-free artificial tears are preferred over preserved tears in patients with compromised ocular surface tissue, especially when required multiple times per day.
Aside from potentially toxic preservatives, patients also need to be aware of eye drop warnings and recalls. From January 2023 to the present, more than three dozen over-the-counter lubricating eye drops have been recalled for sterility reasons.16,17 Many of these recalled lubricating drops were generic drug store brands that were likely lower in cost compared to brand name artificial tears.
Due to the plethora of artificial tear options online and in stores, scleral lens practitioners should advise their patients on which specific drops are safe and compatible with scleral lens wear.
CONCLUSION
Scleral lenses are transformative medical devices that benefit many patients with ocular surface disease and irregular corneas. Aside from designing lenses to precisely match the contour of the ocular surface, scleral lens practitioners must also ensure that they have educated their patients properly on scleral lens wear, care, and compliance. Routine medical visits should be conducted to evaluate lens fit, ocular health, and patient hygiene and compliance.
REFERENCES
1. Schornack M, Nau C, Nau A, Harthan J, Fogt J, Shorter E. Visual and physiological outcomes of scleral lens wear. Cont Lens Anterior Eye. 2019 Feb;42:3-8.
2. Shorter E, Harthan J, Nau CB, et al. Scleral Lenses in the Management of Corneal Irregularity and Ocular Surface Disease. Eye Contact Lens. 2018 Nov;44:372-378.
3. Poggio EC, Glynn RJ, Schein OD, et al. The incidence of ulcerative keratitis among users of daily-wear and extended-wear soft contact lenses. N Engl J Med. 1989 Sep 21;321:779-783.
4. Stapleton F, Keay L, Edwards K, et al. The incidence of contact lens-related microbial keratitis in Australia. Ophthalmology. 2008 Oct;115:1655-1662.
5. Fernandes M, Sharma S. Polymicrobial and microsporidial keratitis in a patient using Boston scleral contact lens for Sjogren’s syndrome and ocular cicatricial pemphigoid. Cont Lens Anterior Eye. 2013 Apr;36:95-97.
6. Zimmerman AB, Marks A. Microbial keratitis secondary to unintended poor compliance with scleral gas-permeable contact lenses. Eye Contact Lens. 2014 Jan;40:e1-e4.
7. Sticca MP, Carrijo-Carvalho LC, Silva IMB, et al. Acanthamoeba keratitis in patients wearing scleral contact lenses. Cont Lens Anterior Eye. 2018 Jun;41:307-310.
8. Bruce AS, Nguyen LM. Acute red eye (non-ulcerative keratitis) associated with mini-scleral contact lens wear for keratoconus. Clin Exp Optom. 2013 Mar;96:245-248.
9. Barnett M, Courey C, Fadel D, et al. CLEAR - Scleral lenses. Cont Lens Anterior Eye. 2021 Apr;44:270-288.
10. Szczotka-Flynn LB, Pearlman E, Ghannoum M. Microbial contamination of contact lenses, lens care solutions, and their accessories: a literature review. Eye Contact Lens. 2010 Mar;36:116-129.
11. Hsiao YT, Fang PC, Chen JL, et al. Molecular Bioburden of the Lens Storage Case for Contact Lens-Related Keratitis. Cornea. 2018 Dec;37:1542-1550.
12. Jeong M, Lee KL, She RC, Chiu GB. Microbiological Evaluation of Opened Saline Bottles for Scleral Lens Use and Hygiene Habits of Scleral Lens Patients. Optom Vis Sci. 2021;98:250-257.
13. Mickles CV, Harthan JS, Barnett M. Assessment of a Novel Lens Surface Treatment for Scleral Lens Wearers With Dry Eye. Eye Contact Lens. 2021 May 1;47:308-313.
14. Pritikin E, Rodman J, Chiu GB. Average Scleral Lens Replacement Period at a Tertiary Care Hospital. Eye Contact Lens. 2023 Oct 1;49:422-427.
15. Goldstein MH, Silva FQ, Blender N, Tran T, Vantipalli S. Ocular benzalkonium chloride exposure: problems and solutions. Eye (Lond). 2022 Feb;36:361-368.
16. U.S. Food and Drug Administration. FDA warns consumers not to purchase or use certain eye drops from several major brands due to risk of eye infection. 2023 Nov. Available at fda.gov/drugs/drug-safety-and-availability/fda-warns-consumers-not-purchase-or-use-certain-eye-drops-several-major-brands-due-risk-eye. Accessed 2024 April 30.
17. The Dry Eye Foundation. Are my eye drops safe? 2024. Available at eyedropsafety.org. Accessed 2024 April 30.