contact lens case reports
Working Around Pingueculae
BY PATRICK J. CAROLINE, FAAO, & MARK P. ANDRÉ, FAAO
|
|
|
|
Figure 1. Conjunctival pinguecula. |
|
Pingueculae are common tissue degenerations that present as elevated, yellowish-white nodules on the conjunctiva within the interpalpebral space on either side of the cornea. They're usually bilateral and more often occur nasally than temporally.
Pingueculae may result from an age-related tissue degeneration combined with a host of environmental factors such as dryness, wind, dust and, in particular, ultraviolet radiation (their nasal predominance may relate to an increased reflection of UV light from the side of the nose).
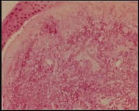
Histopathologically, a pinguecula differs from a pterygia only in location: A pinguecula remains on the conjunctiva (Figure 1), whereas a pterygia actually grows onto the corneal surface. The nodules consist of a mass of abnormal hyaline substance with irregular, dense concretions and curled collagen fibrils (Figure 2).
|
|
|
|
Figure 2. Histopathology of a pingueculae. |
|
|
|
|
Figure 3. Soft contact lens over a pinguecula. |
Lens Fitting Recommendations
While pingueculae are often clinically insignificant, they can create some challenges when fitting contact lenses. With GP and soft contact lenses, small pingueculae present few fitting and/or wearing problems (Figure 3). However, large, elevated lesions can result in an undesirable bridging of the upper lid, making GP lens wear more difficult. Additionally, elevated lesions can result in excessive soft lens edge lift as the lens attempts to extend across the lesion. We prefer low-modulus soft lenses (softer materials) because they'll better conform to the shape of the pingueculae.
Treatment Options
Patients who have pingueculae are often asymptomatic and generally require no treatment. However, in certain environments, the lesions can become inflamed, resulting in pingueculitis. In these situations, you can prescribe ocular lubricants, (drops and ointments) and/or topical corticosteroids.
In rare occasions, a pinguecula can grow large enough to cause persistent discomfort or be of cosmetic concern. This may warrant excision, although you should advise the patient that the cosmetic appearance of the post-removal scar may be worse than the initial lesion itself and that despite proper surgical removal, the lesions can return.
Take Preventive Measures
Ultimately, the best way to manage pingueculae is to limit exposure to the factors that contribute to their growth. Recommend UV protection, avoidance of dust and wind and frequent ocular lubrication.
Patrick Caroline is an associate professor of optometry at Pacific University and is an assistant professor of ophthalmology at the Oregon Health Sciences University. Mark André is director of contact lens services at the Oregon Health Sciences University and serves as an assistant professor of optometry at Pacific University.


